Hệ thống Báo cáo và Dữ liệu Hình ảnh Tuyến giáp theo Hiệp hội Chẩn đoán hình ảnh Hoa Kỳ 2017: Bài báo với hình ảnh minh họa (The 2017 ACR TI-RADS: pictorial essay)
ACR: American College of Radiology
TI-RADS: Thyroid Imaging, Reporting and Data System
Tóm tắt
Siêu âm độ phân giải cao (High-resolution ultrasound) là phương pháp chẩn đoán hình ảnh được lựa chọn để đánh giá nhân giáp (thyroid nodules). Phương pháp này gần đây đã được sử dụng rộng rãi và thường xuyên giúp tăng tỷ lệ phát hiện nhân giáp. Năm 2017, Hiệp hội Chẩn đoán hình ảnh Hoa Kỳ (ACR) đã thiết lập một hệ thống phân tầng nguy cơ được gọi là Hệ thống Báo cáo và Dữ liệu Hình ảnh Tuyến giáp (TI-RADS: Thyroid Imaging Reporting and Data System) nhằm trở thành một hệ thống hướng dẫn thực hành để sử dụng rộng rãi, với bộ thuật ngữ thống nhất và chuẩn hóa các báo cáo kết quả siêu âm nhân giáp. Mục tiêu của nghiên cứu này là trình bày cách tiếp cận thực tế, sử dụng các ví dụ minh họa cho các tiêu chuẩn được đánh giá bởi ACR TI-RADS 2017, nhằm giúp giảm thiểu sự mơ hồ trong việc áp dụng hệ thống này của các bác sĩ siêu âm.
Giới thiệu
Siêu âm độ phân giải cao là phương pháp chẩn đoán hình ảnh được lựa chọn để đánh giá nhân giáp. Phương pháp này gần đây đã được sử dụng rộng rãi và thường xuyên giúp tăng tỷ lệ phát hiện nhân giáp. Mặc dù tỷ lệ hiện mắc (prevalence) nhân giáp là cao nhưng tỷ lệ mắc mới (incidence) ung thư ác tính ở các nhân giáp tình cờ được phát hiện (incidental nodules) lại tương đối thấp.
Chẩn đoán nhân giáp ác tính phụ thuộc chủ yếu vào việc sinh thiết chọc hút bằng kim nhỏ (fine-needle aspiration biopsy) hoặc sinh thiết cắt bỏ (excisional biopsy). Để tránh các thủ thuật không cần thiết, việc phân tầng nguy cơ thông qua hệ thống hóa là điều rất quan trọng. Năm 2017, Hiệp hội Chẩn đoán hình ảnh Hoa Kỳ (ACR) đã triệu tập để thiết lập một hệ thống phân tầng nguy cơ thực tế nhằm sử dụng rộng rãi bởi tất cả các chuyên gia y tế. Kết quả là ra đời Hệ thống Báo cáo và Dữ liệu Hình ảnh Tuyến giáp (TI-RADS), hệ thống này cung cấp một bộ thuật ngữ chuẩn (lexicon) nhằm giảm thiểu sự nhầm lẫn trong các báo cáo siêu âm nhân giáp.
Mục tiêu của nghiên cứu này là tạo ra hướng dẫn thực hành nhằm giúp giảm thiểu sự mơ hồ trong việc áp dụng hệ thống ACR TI-RADS 2017 của các bác sĩ siêu âm. Để đạt được mục đích đó, chúng tôi sử dụng các ví dụ để minh họa cho các tiêu chuẩn và cách tính điểm của ACR TI-RADS.

Biểu đồ hiển thị 5 danh mục dựa trên thuật ngữ chuẩn của hệ thống ACR TI-RADS, các mức TI-RADS và tiêu chuẩn để chọc hút tế bào bằng kim nhỏ (FNA – fine-needle aspiration) hoặc siêu âm theo dõi. Các ghi chú giải thích được đặt ở phía dưới.
Đánh giá các đặc điểm
Hệ thống ACR TI-RADS dựa trên việc đánh giá 5 đặc điểm chính của nhân giáp: thành phần (composition), độ hồi âm (echogenicity), hình dạng (shape), đường bờ (margin) và các ổ tăng âm (echogenic foci), các đặc điểm này được tính điểm riêng lẻ, sau đó tổng điểm được cộng lại để đưa ra phân loại mức độ nguy cơ cuối cùng, dao động từ TR1 (lành tính) đến TR5 (nghi ngờ ác tính cao). Một đặc điểm thứ 6 (kích thước – size) được sử dụng để xác định hành động thích hợp cần thực hiện tiếp theo.
Đối với mỗi đặc điểm trong 5 đặc điểm chính, phải chọn một trong các lựa chọn và tính điểm tương ứng; ngoại trừ đặc điểm “các ổ tăng âm” (echogenic foci) thì tất cả các lựa chọn (options) áp dụng cho nhân giáp đang được đánh giá đều phải được mô tả và cho điểm. Theo bộ thuật ngữ chuẩn được ACR TI-RADS đề xuất, các đặc điểm được mô tả ở trên sẽ được chỉ định theo các danh mục (categories).
1. Thành phần (Composition)
Thành phần của nhân giáp được xác định dựa trên thành phần bên trong của nó (mô đặc (solid tissue) hoặc dịch (fluid)). Thành phần đó được phân loại chi tiết bên dưới.
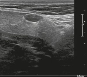
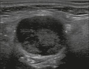
– Dạng Nang (Cystic): Đặc điểm này mô tả nhân giáp được lấp đầy hoàn toàn hoặc gần như hoàn toàn bằng dịch (Hình 1).
Hình 1. Hình ảnh nhân giáp (nodule) hoàn toàn là dạng nang. Nhân giáp hoàn toàn là dạng nang (completely cystic), chủ yếu là dạng nang (predominantly cystic), hoặc dạng bọt biển (spongiform) sẽ không được tính điểm ở các danh mục khác, do đó tự động nhận tổng điểm cuối cùng là 0 và được phân loại là TR1.
– Dạng bọt biển (Spongiform): Đặc điểm này mô tả nhân giáp bao gồm nhiều khoang dạng nang nhỏ chiếm ít nhất 50% tổng thể tích của nhân giáp.
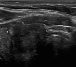
– Hỗn hợp vừa đặc vừa nang (Mixed solid-cystic): Đặc điểm này mô tả nhân giáp kết hợp 2 đặc điểm được trình bày trong bộ thuật ngữ chuẩn ban đầu (“chủ yếu là mô đặc (predominantly solid)” và “chủ yếu là dạng nang (predominantly cystic)”). Trong việc đánh giá những nhân giáp này, đặc điểm thành phần mô đặc quan trọng hơn phân bố tỷ lệ của thành phần đặc và nang (Hình 2).
Hình 2. Hình ảnh nhân giáp hỗn hợp đặc và nang (mixed solid-cystic nodule). Với những nhân giáp này, chỉ có thành phần mô đặc mới được tính điểm cho các danh mục độ hồi âm, đường bờ và các ổ tăng âm. Trong trường hợp này, nhân giáp được cho 1 điểm vì là dạng hỗn hợp, 2 điểm vì giảm âm, 0 điểm vì rộng hơn cao (wider-than-tall), 0 điểm vì đường bờ không xác định (undefined margins), và 0 điểm vì không có các ổ tăng âm hoặc xảo ảnh bóng lưng (acoustic shadowing artifacts). Do đó, tổng điểm là 3 điểm và mức độ nguy cơ được phân loại là TR3.
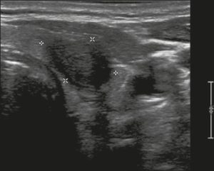
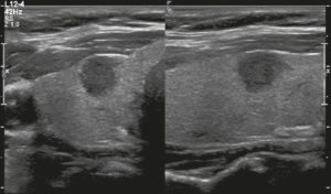
– Dạng Đặc (Solid): Đặc điểm này mô tả nhân giáp được cấu tạo hoàn toàn hoặc gần như hoàn toàn bằng mô đặc (Hình 3). Không có định nghĩa chính xác về tỷ lệ thành phần mô đặc cần thiết để nhân giáp được phân loại là dạng đặc (solid), và điều này thường là đánh giá chủ quan. Theo nguyên tắc chung, nhân giáp hầu hết là mô đặc và chứa các khoang dạng nang chiếm không quá 5% tổng thể tích được phân loại là dạng đặc. Trong một số trường hợp, khó có thể phân biệt giữa thành phần mô đặc và các mảnh vụn (debris) hoặc xuất huyết (hemorrhagic). Trong những trường hợp đó, việc sử dụng siêu âm Doppler màu (color Doppler) có thể giúp xác định dòng chảy mạch máu bên trong thành phần mô đặc. Nếu thành phần của nhân giáp không thể xác định rõ ràng thì nhân giáp đó nên được xem như là dạng đặc.
Hình 3. Hình ảnh nhân giáp hoàn toàn là mô đặc có độ hồi âm tương tự với nhu mô tuyến giáp (thyroid parenchyma) xung quanh, đồng thời có viền halo giảm âm (hypoechoic halo) không được tính điểm cho hạng mục độ hồi âm hay đường bờ. Các đặc điểm (điểm số) của nhân giáp này như sau: dạng đặc (2 điểm); đồng âm (1 điểm); rộng hơn cao (0 điểm); bờ trơn láng (0 điểm); và không có các ổ tăng âm hay bóng lưng (0 điểm). Do đó, tổng điểm là 3 điểm và mức độ nguy cơ được phân loại là TR3.
2. Độ hồi âm (Echogenicity)
Độ hồi âm của nhân giáp được đánh giá dựa trên việc so sánh với mô kế cận (nhu mô tuyến giáp hoặc các cơ vùng cổ phía trước). Lưu ý rằng, đối với danh mục này, chỉ tính đến thành phần đặc.
– Tăng âm/Hồi âm dày (Hyperechoic): Đặc điểm này mô tả nhân giáp có độ hồi âm cao hơn so với nhu mô tuyến giáp (Hình 4 và Hình 5).
Hình 4. Hình ảnh nhân giáp tăng âm (hyperechoic). Các đặc điểm (điểm số) của nhân giáp này như sau: dạng đặc (2 điểm); tăng âm (1 điểm); rộng hơn cao (0 điểm); bờ trơn láng (0 điểm); và không có các ổ tăng âm hay bóng lưng (0 điểm). Do đó, tổng điểm là 3 điểm và mức độ nguy cơ được phân loại là TR3.
Hình 5. Hình ảnh nhân giáp tăng âm (hyperechoic). Lưu ý cấu trúc hồi âm không đồng nhất (heterogeneous echotexture) của nhu mô tuyến giáp (thyroid parenchyma), đặc biệt là sự hiện diện của các nhân giáp có đường bờ được xác định rõ (well-defined margins) và độ hồi âm cao hơn so với phần nhu mô còn lại. Nhân giáp được mô tả có các đặc điểm (và điểm số) sau: dạng đặc (2 điểm), tăng âm (1 điểm), rộng hơn cao (0 điểm), bờ trơn láng (0 điểm) và không có các ổ tăng âm hay bóng lưng (0 điểm). Do đó, tổng điểm là 3 điểm và mức độ nguy cơ được phân loại là TR3.
– Đồng âm (Isoechoic): Đặc điểm này mô tả nhân giáp có độ hồi âm tương tự với nhu mô tuyến giáp (Hình 3). Nếu độ hồi âm của nhân giáp không thể xác định được thì nó nên được coi là đồng âm (isoechoic) để tính điểm.
– Giảm âm (Hypoechoic): Đặc điểm này mô tả nhân giáp có độ hồi âm thấp hơn so với nhu mô tuyến giáp (Hình 6 và Hình 7).
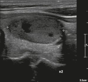
Hình 6. Hình ảnh nhân giáp hầu hết là mô đặc với bờ trơn láng (smooth margins) và có độ hồi âm thấp hơn so với phần nhu mô tuyến giáp còn lại. Nhân giáp được mô tả có các đặc điểm (và điểm số) sau: dạng đặc (2 điểm), giảm âm (2 điểm), rộng hơn cao (0 điểm), đường bờ được xác định rõ (0 điểm) và không có các ổ tăng âm hay bóng lưng (0 điểm). Do đó, tổng điểm là 4 điểm và mức độ nguy cơ được phân loại là TR4.
Hình 7. Hình ảnh nhân giáp hình bầu dục (oval-shaped nodule) với đường bờ xác định rõ (well-defined margins) và độ hồi âm thấp hơn so với phần nhu mô tuyến giáp còn lại. Trong trường hợp này, nhân giáp được tính 2 điểm cho dạng đặc, 2 điểm cho giảm âm, 0 điểm cho rộng hơn cao, 2 điểm cho bờ đa thùy (lobulated margin), và 0 điểm vì không có các chấm tăng âm hay bóng lưng. Do đó, tổng điểm là 6 điểm và mức độ nguy cơ được phân loại là TR4.
– Giảm âm rất mạnh (Markedly hypoechoic): Đặc điểm này mô tả nhân giáp có độ hồi âm thấp hơn so với các cơ vùng cổ trước (anterior cervical musculature) (Hình 8). Đặc điểm này có độ đặc hiệu cao đối với ác tính.
Hình 8. Hình ảnh nhân giáp giảm âm rất mạnh. Hãy so sánh độ hồi âm của nhân giáp với cơ vùng cổ. Cần chú ý đến các thông số siêu âm (ultrasound parameters). Nhân giáp được mô tả có các đặc điểm (và điểm số) sau: dạng đặc (2 điểm), giảm âm rất mạnh (3 điểm), rộng hơn cao (0 điểm), đường bờ không xác định (undefined margins) (0 điểm), và không có các ổ tăng âm hay bóng lưng (0 điểm). Do đó, tổng điểm là 5 điểm và mức độ nguy cơ được phân loại là TR4.
3. Hình dạng (Shape)
Trong danh mục hình dạng (shape), chỉ có một đặc điểm của nhân giáp được đánh giá cho việc phân tầng nguy cơ ACR TI-RADS: đó là mối quan hệ giữa kích thước theo chiều trước-sau (chiều cao-tallness) và kích thước theo chiều ngang (chiều rộng-width) của nhân giáp trên mặt cắt ngang (axial image). Nhân giáp được phân loại là rộng hơn cao (wider-than-tall) hoặc cao hơn rộng (taller-than-wide).
– Cao hơn rộng (Taller-than-wide): Khi kích thước chiều trước-sau (anteroposterior dimension) của nhân giáp lớn hơn kích thước chiều ngang (transverse dimension) của nó (Hình 9), nhân giáp được phân loại là cao hơn rộng (taller-than-wide). Mặc dù không nhạy, nhưng đây là một dấu hiệu có độ đặc hiệu cao đối với tổn thương ác tính, đặc biệt khi kết hợp với các đặc điểm khác gợi ý ác tính.
Hình 9. Hình ảnh nhân giáp chủ yếu là dạng đặc, giảm âm, cao hơn rộng với đường bờ xác định rõ. Các đặc điểm (điểm số) của nhân giáp này như sau: dạng đặc (2 điểm), giảm âm (2 điểm), cao hơn rộng (3 điểm), bờ trơn láng (0 điểm), và không có các ổ tăng âm hay bóng lưng (0 điểm). Do đó, tổng điểm là 7 điểm và mức độ nguy cơ được phân loại là TR5.
4. Đường bờ (Margin)
Danh mục đường bờ (Margin) phân loại giao diện tiếp giáp giữa nhân giáp và mô kế cận trong hoặc ngoài tuyến giáp.
– Bờ trơn láng/bờ đều (Smooth): Đặc điểm này mô tả đường bờ nhân giáp được xác định rõ, có hình cong và không bị gián đoạn (Hình 3).
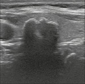
– Đường bờ không đều (irregular) hoặc đa cung (lobulated): Đặc điểm này mô tả đường bờ nhân giáp tua gai (spiculated) và răng cưa (jagged), tạo thành các góc nhọn (acute angles). Nhân giáp này có thể có hoặc không có các phần mô lồi ra rõ rệt vào các mô kế cận (Hình 10 và Hình 11).
Hình 10. Hình ảnh nhân giáp dạng đặc có bờ đa cung (lobulated margins) và có một cung tròn ở phần trước. Trong trường hợp này, nhân giáp được cho 2 điểm vì là dạng đặc, 2 điểm vì giảm âm, 0 điểm vì rộng hơn cao, 2 điểm vì có bờ đa cung, và 0 điểm vì không có các ổ tăng âm hay bóng lưng phía sau. Do đó, tổng điểm là 6 điểm và mức độ nguy cơ được phân loại là TR4.
Hình 11. Hình ảnh nhân giáp dạng đặc có bờ không đều (irregular margins). Ghi nhận bờ không đều với một góc nhọn (acute angle) ở bờ trong (medial margin) của nhân giáp. Nhân giáp được mô tả có các đặc điểm (và điểm số) sau: dạng đặc (2 điểm), giảm âm (2 điểm), rộng hơn cao (0 điểm), bờ không đều (2 điểm), và không có các ổ tăng âm hay bóng lưng phía sau (0 điểm). Do đó, tổng điểm là 6 điểm và mức độ nguy cơ được phân loại là TR4.
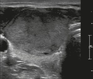
– Lan rộng ra ngoài tuyến giáp (Extrathyroidal extension): Đặc điểm này mô tả đường bờ nhân giáp vượt ra ngoài giới hạn của tuyến giáp, được đặc trưng bởi sự xâm lấn rõ ràng vào các mô mềm hoặc cấu trúc mạch máu kế cận (Hình 12).
Hình 12. Hình ảnh nhân giáp lan rộng ra ngoài giới hạn phía trước của tuyến giáp. Nhân giáp được mô tả có các đặc điểm (và điểm số) sau: dạng đặc (2 điểm), giảm âm (2 điểm), rộng hơn cao (0 điểm), lan rộng ra ngoài tuyến giáp (3 điểm), và không có các ổ tăng âm hay bóng lưng phía sau (0 điểm). Do đó, tổng điểm là 7 điểm và mức độ nguy cơ được phân loại là TR5.
– Đường bờ không rõ hoặc không xác định (Poorly defined or undefined): Đặc điểm này mô tả đường bờ nhân giáp khó phân biệt với nhu mô tuyến giáp xung quanh (Hình 13) mà không có đường bờ không đều hoặc tua gai.
Hình 13. Hình ảnh nhân giáp hỗn hợp đặc và nang. Ghi nhận đường bờ phía trong (medial margin) của nhân giáp khó phân biệt rõ ràng với nhu mô giáp xung quanh. Trong trường hợp này, nhân giáp được cho 1 điểm vì là dạng hỗn hợp, 2 điểm vì giảm âm, 0 điểm vì rộng hơn cao, 0 điểm vì có đường bờ không rõ (ill-defined margins), và 0 điểm vì không có các ổ tăng âm hay bóng lưng. Do đó, tổng điểm là 3 điểm và mức độ nguy cơ được phân loại là TR3.
Mặc dù đường bờ không đều hoặc đa cung (irregular or lobulated) là dấu hiệu nghi ngờ ác tính, nhưng đường bờ không rõ (ill-defined margins) lại không có mối liên hệ thống kê với nhân giáp ác tính và khá phổ biến ở các nhân giáp tăng sản lành tính (benign hyperplastic nodules).
5. Các ổ tăng âm (Echogenic foci)
Các ổ tăng âm (Echogenic foci) được định nghĩa là các vùng khu trú có độ hồi âm tăng đáng kể, có thể khác nhau về hình dạng và kích thước nằm trong nhân giáp. Chúng có thể xuất hiện đơn độc hoặc kết hợp với xảo giả (artifacts) liên quan đến bóng lưng (acoustic shadowing).
– Các ổ tăng âm dạng lấm tấm (Punctate echogenic foci): Được định nghĩa là các chấm tăng âm nhỏ mà không có bóng lưng (Hình 14).
Hình 14. Hình ảnh nhân giáp dạng đặc có các ổ tăng âm dạng lấm tấm (punctate echogenic foci). Nhân giáp được mô tả có các đặc điểm (và điểm số) sau: dạng đặc (2 điểm), giảm âm (2 điểm), rộng hơn cao (0 điểm), đường bờ không xác định (0 điểm), và các ổ tăng âm dạng lấm tấm (3 điểm). Do đó, tổng điểm là 7 điểm và mức độ nguy cơ được phân loại là TR5.
– Vôi hóa Thô (Macrocalcifications): Được định nghĩa là sự vôi hóa đủ lớn để tạo ra bóng lưng (acoustic shadowing) và có thể có hình dạng không đều (Hình 15).
Hình 15. Hình ảnh nhân giáp có vôi hóa thô (macrocalcification). Ghi nhận có bóng lưng mạnh (intense acoustic shadowing). Các đặc điểm (điểm số) của nhân giáp này như sau: dạng đặc (2 điểm); đồng âm (1 điểm); rộng hơn cao (0 điểm); bờ trơn láng (0 điểm); và vôi hóa thô (1 điểm). Do đó, tổng điểm là 4 điểm và mức độ nguy cơ được phân loại là TR4.
– Vôi hóa ngoại vi/vôi hóa viền (Peripheral/rim calcifications): Được định nghĩa là sự vôi hóa nằm ở vùng ngoại vi của nhân giáp và có thể liên tục hoặc không liên tục (Hình 16 và Hình 17). Chúng thường tạo ra bóng lưng làm che mờ thành phần trung tâm của nhân giáp.
Hình 16. Hình ảnh nhân giáp có các ổ tăng âm vùng ngoại vi tương ứng với vôi hóa. Nhân giáp được mô tả có các đặc điểm (và điểm số) sau: dạng đặc (2 điểm), giảm âm (2 điểm), rộng hơn cao (0 điểm), đường bờ xác định rõ (0 điểm), và vôi hóa ngoại vi (2 điểm). Do đó, tổng điểm là 6 điểm và mức độ nguy cơ được phân loại là TR4.
Hình 17. Hình ảnh nhân giáp có vôi hóa ngoại vi (peripheral calcifications) và bóng lưng (acoustic shadowing) che khuất thành phần trung tâm của nhân giáp. Theo ACR TI-RADS, khi các đặc điểm bên trong của nhân giáp không thể xác định được do bóng lưng, nên thận trọng giả định rằng nhân giáp đó là dạng đặc và cho 2 điểm cho thành phần, cũng như 1 điểm cho độ hồi âm. Trong trường hợp này, nhân giáp được cho 2 điểm vì thành phần không xác định, 1 điểm vì độ hồi âm không xác định, 0 điểm vì rộng hơn cao, 2 điểm vì có bờ đa thùy, và 2 điểm vì có vôi hóa ngoại vi. Do đó, tổng điểm là 7 điểm và mức độ nguy cơ được phân loại là TR5.
Các ví dụ thực hành
Ở đây, chúng tôi cung cấp các ví dụ minh họa việc áp dụng thực tế hệ thống ACR TI-RADS (Hình 18, 19, 20, 21). Các chú thích dưới hình mô tả chi tiết các mục đã được đánh giá và hiển thị điểm số trong ngoặc đơn.
Hình 18. Hình ảnh nhân giáp dạng đặc (2 điểm), đồng âm (1 điểm), rộng hơn cao (0 điểm), có bờ trơn láng (0 điểm) và không có các ổ tăng âm hay bóng lưng (0 điểm). Do đó, tổng điểm là 3 điểm và mức độ nguy cơ được phân loại là TR3.
Hình 19. Hình ảnh nhân giáp dạng đặc (2 điểm), giảm âm rất mạnh (3 điểm), rộng hơn cao (0 điểm), có bờ trơn láng (0 điểm), và không có các ổ tăng âm hay bóng lưng (0 điểm). Do đó, tổng điểm là 5 điểm và mức độ nguy cơ được phân loại là TR4.
Hình 20. Hình ảnh nhân giáp hỗn hợp đặc và nang (1 điểm), đồng âm (1 điểm), rộng hơn cao (0 điểm), và lan rộng ra ngoài giới hạn phía trước của tuyến giáp (3 điểm), không có các ổ tăng âm hay bóng lưng (0 điểm). Do đó, tổng điểm là 5 điểm và mức độ nguy cơ được phân loại là TR4.
Hình 21. Hình ảnh nhân giáp dạng đặc (2 điểm), giảm âm (2 điểm), cao hơn rộng (3 điểm), có đường bờ không xác định (0 điểm), và không có các ổ tăng âm hay bóng lưng (0 điểm). Do đó, tổng điểm là 7 điểm và mức độ nguy cơ được phân loại là TR5.
Thảo luận
Siêu âm là phương pháp chẩn đoán hình ảnh chính để đánh giá nhân giáp và sự phổ biến (availability) rộng rãi của nó đã giúp các nhân giáp được phát hiện với tỷ lệ ngày càng cao hơn. Do đó, nhiều mô hình phân tầng nguy cơ khác nhau đã được phát triển, mỗi mô hình đều có bộ khuyến cáo riêng gây ra sự nhầm lẫn cho các chuyên gia y tế. Hệ thống ACR TI-RADS được phát triển với mục tiêu chuẩn hóa việc mô tả và cách tiếp cận các nhân giáp, với hình thức thực tế giúp nó có thể đánh giá tốt nhân giáp khi theo dõi.
Việc áp dụng hệ thống ACR TI-RADS có những hạn chế. Đầu tiên, việc sử dụng hệ thống dựa trên điểm sẽ hạn chế việc đánh giá các mục được tính điểm và không tính đến các biến số có thể có ý nghĩa khác nhau như đặc điểm của thành phần đặc của nhân giáp hỗn hợp đặc và nang (solid-cystic nodule); một số mặt của đặc điểm đó được biết là có liên quan đến ác tính nhưng không được tính điểm trong ACR TI-RADS.
Hệ thống này cũng có một số cạm bẫy (pitfalls) có thể làm tăng mức độ nguy cơ gây nhầm lẫn và dẫn đến việc sinh thiết là không cần thiết. Ví dụ, các ổ tăng âm nhỏ dạng lấm tấm (tiny punctate hyperechoic foci) biểu hiện cho cấu trúc bình thường của nhu mô tuyến giáp có thể bị hiểu nhầm là các ổ tăng hồi âm (echogenic foci) [tức vi vôi hóa]. Ngoài ra, hệ thống ACR TI-RADS cũng hạn chế về tính hữu ích trong việc đánh giá tuyến giáp có nhiều nhân giáp như bướu giáp đa nhân (multinodular goiters), tình trạng mà tuyến giáp bị thay thế bởi nhiều nhân giáp nằm sát nhau có đặc điểm tương tự nhau. Mặc dù không thể loại trừ hoàn toàn khả năng ác tính trong những tình trạng này, việc sinh thiết từng nhân giáp này là không thể thực hiện được. Do đó, việc sử dụng mô hình phân tầng nguy cơ ACR TI-RADS không thực tế trong trường hợp đó.
Mặc dù có những hạn chế nhưng hệ thống ACR TI-RADS vẫn có vai trò quan trọng trong thực hành lâm sàng, tuy nhiên cần phải được hiểu rõ để sử dụng một cách hiệu quả. Nó cung cấp một bộ thuật ngữ được chuẩn hóa và tạo điều kiện cho việc quản lý phù hợp đối với tất cả các nhân giáp, giúp tránh được các thủ thuật chẩn đoán không cần thiết, nhờ đó giảm bớt sự khó chịu cho bệnh nhân và chi phí chăm sóc sức khỏe.
Lược dịch bài tiếp theo: Link bài gốc: https://www.jacr.org/article/S1546-1440%2817%2930186-2/pdf
Hệ thống Báo cáo và Dữ liệu Hình ảnh Tuyến giáp của ACR (TI-RADS): Báo cáo Chính thức của Ủy ban TI-RADS thuộc ACR – 2017
“ACR Thyroid Imaging, Reporting and Data System (TI-RADS): White Paper of the ACR TI-RADS Committee”
Tóm tắt (Abstract)
Nhân giáp (Thyroid nodules) là dấu hiệu thường gặp khi siêu âm vùng cổ (neck sonography). Hầu hết nhân giáp là lành tính (benign); do đó, nhiều nhân giáp được sinh thiết để xác định một số ít các nhân giáp là ác tính (malignant) hoặc cần phẫu thuật (surgery) để chẩn đoán xác định (definitive diagnosis). Từ năm 2009, nhiều hiệp hội chuyên môn và các nhà nghiên cứu đã đề xuất các hệ thống phân tầng nguy cơ dựa trên siêu âm để xác định các nhân hoặc nốt (nodules) cần sinh thiết (biopsy) hoặc theo dõi bằng siêu âm. Vì một số hệ thống này được xây dựng dựa trên phân loại BI-RADS (BI-RADS classification) được sử dụng rộng rãi trong chẩn đoán hình ảnh vú, các tác giả của họ đã chọn sử dụng từ viết tắt TI-RADS, viết tắt của Thyroid Imaging, Reporting and Data System (Hệ thống Báo cáo và Dữ liệu, Hình ảnh Tuyến giáp).
Năm 2012, ACR đã triệu tập các ủy ban (committees) để (1) đưa ra các khuyến cáo (recommendations) về báo cáo (reporting) nhân giáp tình cờ phát hiện, (2) phát triển một bộ thuật ngữ tiêu chuẩn (lexicon, standard terms) cho báo cáo siêu âm (ultrasound reporting), và (3) đề xuất hệ thống TI-RADS dựa trên bộ thuật ngữ đó. Các ủy ban đã công bố kết quả của 2 mục tiêu đầu tiên vào năm 2015. Trong bài báo này, các tác giả trình bày các khuyến cáo của Ủy ban TI-RADS thuộc ACR, cung cấp hướng dẫn về quản lý điều trị nhân giáp dựa trên đặc điểm hình ảnh siêu âm của chúng. Các tác giả cũng mô tả các định hướng tương lai của ủy ban.
Giới thiệu
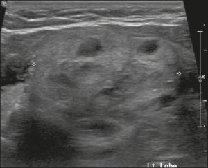
Nhân giáp là rất thường gặp, với tỷ lệ hiện mắc lên tới 68% ở người lớn khi siêu âm có độ phân giải cao (high-resolution ultrasound). Hiện tại, chọc hút tế bào bằng kim nhỏ (FNA – fine-needle aspiration) là xét nghiệm trong thực hành có hiệu quả nhất để xác định xem nhân giáp là ác tính hay không hoặc có thể cần phải phẫu thuật để đưa ra chẩn đoán xác định. Tuy nhiên, hầu hết nhân giáp đều lành tính, và thậm chí nhân giáp là ác tính, đặc biệt là những nhân giáp < 1cm, thường biểu hiện đặc điểm không tiến triển (nonaggressive) hoặc tiến triển chậm (indolent). Do đó, không phải tất cả các nhân giáp được phát hiện đều cần làm FNA và/hoặc phẫu thuật.
Mặc dù tỷ lệ mắc ung thư tuyến giáp thể nhú (papillary thyroid cancer) được báo cáo tăng lên nhanh chóng do việc sàng lọc bằng siêu âm tuyến giáp ở những bệnh nhân không có triệu chứng tại Hàn Quốc (South Korea) nhưng tỷ lệ tử vong (mortality) vẫn rất thấp. Ở Hoa Kỳ, chẩn đoán quá mức (overdiagnosis) ung thư tuyến giáp được định nghĩa là “chẩn đoán các khối u tuyến giáp (thyroid tumors) mà nếu không điều trị (left alone) thì sẽ không gây ra triệu chứng hoặc tử vong” chiếm từ 70% đến 80% các trường hợp ung thư tuyến giáp ở phụ nữ và 45% các trường hợp ở nam giới từ năm 2003 đến năm 2007.
Vì vậy, phương pháp không xâm lấn và đáng tin cậy để xác định nhân giáp nào cần làm FNA dựa trên khả năng hợp lý của bệnh lý ác tính có ý nghĩa sinh học sẽ rất đáng mong đợi. Năm 2015, các ủy ban được Hiệp hội Chẩn đoán hình ảnh Hoa Kỳ (ACR – American College of Radiology) triệu tập đã công bố các báo cáo chính thức trình bày phương pháp tiếp cận đối với các nhân giáp tình cờ phát hiện và đề xuất thuật ngữ tiêu chuẩn (lexicon) cho báo cáo siêu âm. Mục đích của báo cáo chính thức này là trình bày hệ thống phân tầng nguy cơ của chúng tôi, được thiết kế để xác định hầu hết các bệnh lý ác tính có ý nghĩa lâm sàng đồng thời giảm số lượng ca sinh thiết được thực hiện đối với nhân giáp lành tính.
Cơ sở lý luận Dự án và Quy trình Đồng thuận (Project rationale and consensus process)
Một số Hiệp hội chuyên môn và nhóm các nhà nghiên cứu đã đề xuất các phương pháp để hướng dẫn bác sĩ siêu âm trong việc khuyến cáo chọc hút tế bào bằng kim nhỏ (FNA) dựa trên các đặc điểm siêu âm. Một số hệ thống này được gọi là TI-RADS (Thyroid Imaging, Reporting and Data System – Hệ thống Báo cáo, dữ liệu và Hình ảnh Tuyến giáp) vì chúng được mô phỏng theo hệ thống BI-RADS của ACR, hệ thống này đã được chấp nhận rộng rãi trong chẩn đoán hình ảnh vú.
Các Hiệp hội khác như Hiệp hội Tuyến giáp Hoa Kỳ (ATA – American Thyroid Association) đã áp dụng phương pháp tiếp cận hơi khác biệt, định hướng theo mô hình nhưng với cùng một mục đích. Sự quá nhiều, phức tạp và thiếu sự đồng nhất của các hệ thống này đã hạn chế việc áp dụng chúng trong cộng đồng siêu âm và là động lực cho nỗ lực của chúng tôi nhằm công bố một hệ thống phân loại dưới sự bảo trợ của ACR. Ủy ban TI-RADS của ACR đã đồng ý về các thuộc tính sau đây cho thuật toán (algorithm) phân loại nguy cơ của chúng tôi. Bao gồm:
– Dựa trên các đặc điểm siêu âm đã được định nghĩa trong bộ thuật ngữ tiêu chuẩn mà chúng tôi đã công bố trước đây;
– Dễ dàng áp dụng trong nhiều loại hình thực hành siêu âm khác nhau;
– Có khả năng phân loại tất cả các nhân giáp;
– Dựa trên bằng chứng ở mức độ lớn nhất có thể.
Các đề xuất (proposals) được trình bày trong báo cáo chính thức này (white paper), được xây dựng thông qua các hội nghị trực tuyến (conference calls), email và khảo sát trực tuyến, thể hiện quan điểm đồng thuận của Ủy ban ACR TI-RADS. Chúng dựa trên y văn (literature); phân tích dữ liệu từ Chương trình SEER: Giám sát (Surveillance), Dịch tễ học (Epidemiology) và Kết quả cuối cùng (End Results) của Viện Ung thư Quốc gia (National Cancer Institute); đánh giá các hệ thống phân loại nguy cơ hiện có; và ý kiến chuyên gia (expert opinion).
Các khuyến cáo của chúng tôi nhằm mục đích hướng dẫn cho các bác sĩ áp dụng siêu âm trong việc quản lý bệnh nhân là người trưởng thành (adult) có nhân giáp. Các khuyến cáo này không nên được hiểu là tiêu chuẩn bắt buộc. Bác sĩ chẩn đoán hình ảnh và bác sĩ lâm sàng chịu trách nhiệm về mặt pháp lý và chuyên môn trong việc đưa ra chẩn đoán cho từng trường hợp, bất kể các khuyến cáo của ACR TI-RADS. Quyết định thực hiện FNA cũng nên tính đến quyết định của bác sĩ lâm sàng điều trị bệnh nhân, các yếu tố nguy cơ ung thư tuyến giáp của bệnh nhân, mức độ lo lắng, các bệnh lý đi kèm, tuổi thọ, và các tình trạng liên quan khác.
Hình 1. Biểu đồ hiển thị 5 danh mục dựa trên thuật ngữ chuẩn của hệ thống ACR TI-RADS, các mức TI-RADS và tiêu chuẩn để chọc hút tế bào bằng kim nhỏ (FNA – fine-needle aspiration) hoặc siêu âm theo dõi. Các ghi chú giải thích được đặt ở phía dưới.
Tổng quan về TI-RADS theo ACR
Các đặc điểm siêu âm trong hệ thống TI-RADS theo ACR được phân loại là lành tính (benign); nghi ngờ rất ít (minimally suspicious), nghi ngờ mức độ vừa (moderately suspicious), hoặc nghi ngờ mức độ cao (highly suspicious) về khả năng ác tính (malignancy). Điểm được tính cho tất cả các đặc điểm siêu âm của nhân giáp (nodule) với các đặc điểm nghi ngờ hơn sẽ được cộng thêm điểm. Hình 1 trình bày các đặc điểm này được sắp xếp theo 5 danh mục thuật ngữ tiêu chuẩn (lexicon).
Khi đánh giá nhân giáp, bác sĩ chẩn đoán hình ảnh chọn 1 đặc điểm từ mỗi 1 trong 4 loại đầu tiên và tất cả các đặc điểm áp dụng từ loại cuối cùng, sau đó tính tổng điểm. Tổng số điểm sẽ xác định mức độ ACR TI-RADS của nhân giáp, dao động từ TR1 (lành tính) đến TR5 (nghi ngờ cao là ác tính). Lưu ý rằng mặc dù một nhân giáp vẫn có khả năng được chấm là 0 điểm và do đó được xếp loại là TR1, tất cả các nhân giáp khác đều được chấm ít nhất là 2 điểm vì một nhân giáp có thành phần hỗn hợp vừa nang và vừa đặc (1 điểm) sẽ đồng thời nhận thêm ít nhất 1 điểm nữa cho độ hồi âm của thành phần đặc. Cuối cùng, mặc dù siêu âm đàn hồi mô (sonoelastography) là một kỹ thuật đầy hứa hẹn (promising technique) nhưng kỹ thuật này có thể không sẵn có ở nhiều phòng siêu âm và không được tích hợp vào hệ thống ACR TI-RADS.
Trong hệ thống ACR TI-RADS, các khuyến cáo về thực hiện FNA hoặc theo dõi bằng siêu âm được dựa trên mức độ ACR TI-RADS của nhân giáp và đường kính lớn nhất của nhân giáp. Đối với các mức nguy cơ từ TR3 đến TR5, biểu đồ trình bày ngưỡng kích thước mà tại ngưỡng đó hoặc cao hơn thì FNA nên được khuyến cáo thực hiện. Chúng tôi cũng xác định các giới hạn kích thước thấp hơn để khuyến cáo theo dõi bằng siêu âm đối với các nhân giáp TR3, TR4 và TR5, nhằm mục đích giới hạn số lần siêu âm lặp lại đối với những nhân giáp có khả năng lành tính hoặc không có ý nghĩa lâm sàng.
Trong quá trình phát triển ACR TI-RADS, ủy ban đã cố gắng giải thích sự khác biệt giữa sự tăng lên mạnh mẽ trong chẩn đoán và điều trị ung thư tuyến giáp do tăng khả năng phát hiện và sinh thiết và việc thiếu sự cải thiện tương xứng về kết cục lâu dài. Điều này gợi ý rằng chẩn đoán mọi trường hợp ác tính tuyến giáp không nên là mục tiêu của siêu âm. Giống như các hiệp hội chuyên môn khác, chúng tôi khuyến cáo chỉ nên sinh thiết nhân giáp có mức độ nghi ngờ cao nếu chúng có kích thước từ 1 cm trở lên. Đồng thời, chúng tôi ủng hộ việc sinh thiết các nhân giáp có nguy cơ ác tính thấp chỉ khi nhân giáp có kích thước từ 2.5 cm trở lên.
Hệ thống ACR TI-RADS được thiết kế để cân bằng giữa lợi ích của việc xác định các bệnh ung thư có ý nghĩa trên lâm sàng với nguy cơ và chi phí của việc chỉ định cho bệnh nhân có nhân giáp lành tính hoặc ung thư tuyến giáp tiến triển chậm phải sinh thiết và điều trị. Các khuyến cáo của chúng tôi bằng siêu âm theo dõi (follow-up ultrasound) sẽ làm giảm đáng kể khả năng các bệnh lý ác tính quan trọng bị bỏ sót theo thời gian và phù hợp với xu hướng ngày càng tăng về việc giám sát tích cực (‘chờ đợi theo dõi – watchful waiting’) đối với ung thư tuyến giáp có nguy cơ thấp.
Sự khác biệt giữa hệ thống ACR TI-RADS và các hệ thống khác
Cấu trúc (Structure)
Để giúp hệ thống dễ hiểu và dễ áp dụng, ACR TI-RADS không bao gồm các phân nhóm phụ (subcategories) cũng như không bao gồm phân loại TR0 để nói về tuyến giáp bình thường. ACR TI-RADS cũng cho phép triển khai dưới dạng các mẫu báo cáo (templates) trong các hệ thống báo cáo nhận dạng bằng giọng nói hoặc hệ thống hỗ trợ quyết định bằng máy tính.
Ủy ban đã quyết định không sử dụng phương pháp tiếp cận dựa trên mô hình (pattern-based approach) mà Hiệp hội Tuyến giáp Hoa Kỳ (ATA) đang dùng dựa trên kết quả của một nghiên cứu do Yoon và cộng sự thực hiện. Nghiên cứu này cho thấy các hướng dẫn của ATA không thể phân loại được 3.4% trong số 1.293 nhân giáp, trong đó 18.2% là ác tính. Đáng chú ý, nghiên cứu đó chỉ bao gồm các nhân giáp đã được làm FNA hoặc phẫu thuật. Có khả năng tỷ lệ phần trăm các nhân giáp thậm chí còn lớn hơn sẽ không được phân loại nếu bao gồm các nhân giáp khác vì việc cung cấp các mô hình giải thích cho mọi nhóm đặc điểm tiềm năng là không thực tế.
Ngưỡng kích thước để thực hiện FNA (Size Thresholds for FNA)
Hệ thống ACR TI-RADS phù hợp với hầu hết các hướng dẫn khác trong việc khuyến cáo làm FNA đối với các nhân giáp nghi ngờ cao có kích thước từ 1 cm trở lên. Tuy nhiên, ngưỡng kích thước của chúng tôi đối với nhân giáp nghi ngờ ác tính thấp và nghi ngờ ác tính mức độ trung bình (lần lượt là 2.5 cm và 1.5 cm) cao hơn so với các ngưỡng được khuyến cao bởi Hiệp hội Tuyến giáp Hoa Kỳ (ATA) và Hiệp hội Chẩn đoán hình ảnh Tuyến giáp Hàn Quốc (Korean Society of Thyroid Radiology).
Trong một bài báo xuất bản năm 2005 được trích dẫn bởi cả hai tổ chức, Machens và cộng sự cho rằng nguy cơ tích lũy (cumulative risk) của di căn xa từ ung thư tuyến giáp thể nhú (papillary) và thể nang (follicular) tăng lên ở ngưỡng kích thước 2 cm. Do đó, họ ủng hộ việc sinh thiết các nhân giáp > 2 cm. Tuy nhiên, việc xem xét lại các biểu đồ của họ cho thấy mức tăng nhẹ, từ từ, bắt đầu ở một kích thước lớn hơn. Quan trọng hơn, Machens và cộng sự đã dựa trên phân tích của họ về kích thước khối u trong mẫu bệnh phẩm được cắt bỏ, chứ không phải kích thước đo được trên siêu âm.
Nghiên cứu tiếp theo đã chứng minh sự thiếu phù hợp đáng kể giữa kích thước đo được trên siêu âm và kích thước trên mẫu bệnh phẩm, với xu hướng siêu âm cho kết quả đo lớn hơn. Trong số 205 ca ung thư tuyến giáp thể nhú có kích thước ≥ 1,5 cm được Bachar và cộng sự nghiên cứu, đường kính trung bình đo trên siêu âm là 2.65 ± 1.07 cm, so với 1.97 ± 1.17 cm khi đo trên mẫu bệnh phẩm. Ngưỡng kích thước (size cutoffs) cao hơn của ủy ban (ACR TI-RADS) phản ánh sự khác biệt này.
Các lựa chọn của chúng tôi được hướng dẫn thêm bằng việc đánh giá cơ sở dữ liệu của hơn 3.000 nhân giáp đã được chứng minh, được tạo ra cho một nghiên cứu do Hiệp hội Bác sĩ Chẩn đoán hình ảnh trong Siêu âm (Society of Radiologists in Ultrasound) tài trợ. Phân tích một phần cho thấy mức nguy cơ ung thư không quá 2% đối với nhân giáp TR1 và TR2, 5% đối với TR3, 5% đến 20% đối với TR4, và ít nhất 20% đối với TR5. Chúng tôi cũng cân nhắc các phân tích dữ liệu SEER đã được công bố và mới thực hiện, cho thấy sự gia tăng nhẹ về di căn xa ở kích thước 2.5 cm, cũng như các mức tăng nhẹ về tỷ lệ tử vong tương đối trong 10 năm và tỷ lệ tử vong do ung thư tuyến giáp ở mức 3 cm.
Các danh mục đặc điểm ACR TI-RADS
Trong phần này, chúng tôi trình bày chi tiết 5 nhóm đặc điểm siêu âm, các mức độ ACR TI-RADS và ngưỡng kích thước. Khuyến cáo người đọc tham khảo báo cáo chính thức về thuật ngữ tiêu chuẩn (lexicon) để có mô tả chi tiết về tất cả các danh mục (categories) và đặc điểm (features). Ngoài ra, bất kỳ tiền sử nào có làm FNA hoặc tiêm cồn (ethanol ablation) trước đó cũng nên được khai thác vì các thủ thuật (procedures) này có thể tạo ra hình ảnh nghi ngờ ác tính khi siêu âm theo dõi.
1. Thành phần (Composition)
Nhân giáp (Nodules) dạng nang (cystic) hoặc hầu như hoàn toàn là nang (almost completely cystic) được chấm 0 điểm vì chúng gần như lành tính. Tương tự, nhân dạng bọt biển (spongiform nodule) có mối tương quan cao với kết quả tế bào học lành tính, bất kể độ hồi âm tương đối hay các đặc điểm khác của nó. Tuy nhiên, nhân dạng bọt biển (spongiform nodule) phải bao gồm chủ yếu (>50%) là các khoang nang nhỏ (small cystic spaces). Không nên phân loại nhân giáp là dạng bọt biển chỉ dựa trên sự hiện diện của một vài thành phần dạng nang rải rác trong một nhân giáp vốn là nhân đặc (solid nodule).
Thành phần “hỗn hợp vừa nang vừa đặc – mixed cystic and solid” kết hợp 2 đặc điểm từ bộ thuật ngữ tiêu chuẩn (lexicon): chủ yếu là đặc (predominately solid) và chủ yếu là nang (predominately cystic). Đặc điểm của thành phần đặc quan trọng hơn kích thước tổng thể của nhân giáp hoặc tỷ lệ giữa thành phần đặc và nang trong việc quyết định xem có cần sinh thiết hay không. Mô đặc (Solid material) nằm lệch tâm (eccentric) và tạo thành một góc nhọn (acute angle) với thành của nhân giáp là một dấu hiệu nghi ngờ, cũng như mô đặc có các đặc điểm nghi ngờ mức độ trung bình hoặc cao như giảm âm (decreased echogenicity), đa thùy (lobulation) và các ổ tăng âm dạng lấm tấm (punctate echogenic foci).
Mặc dù siêu âm Doppler màu chưa được chứng minh là có khả năng giúp phân biệt đáng tin cậy giữa nhân giáp lành tính và ác tính, nhưng sự hiện diện của dòng chảy mạch máu (flow) trong thành phần đặc giúp phân biệt mô đặc (tissue) với mảnh vụn (debris) hoặc xuất huyết (hemorrhage) có tăng âm. Các mảnh vụn không quan trọng (inconsequential debris) có thể được xác định với đặc điểm đọng thành lớp (layering) hoặc di chuyển khi thay đổi tư thế bệnh nhân.
2. Độ hồi âm (Echogenicity)
Đặc điểm này đề cập đến độ hồi âm của nhân giáp so với mô tuyến giáp kế cận, ngoại trừ các nhân giáp giảm âm rất mạnh (very hypoechoic) thì sử dụng các cơ vùng cổ (strap muscles) để so sánh. Danh mục này cũng bao gồm đặc điểm “trống âm – anechoic” là đặc điểm được chấm 0 điểm vốn không có trong bộ thuật ngữ tiêu chuẩn (lexicon). Nó áp dụng cho các nhân giáp dạng nang hoặc gần như hoàn toàn là nang mà lẽ ra sẽ được cho 3 điểm do hình ảnh giảm âm rất mạnh của chúng.
3. Hình dạng (Shape)
Hình dạng cao hơn rộng (taller-than-wide) là một dấu hiệu ít nhạy nhưng có tính đặc hiệu cao đối với ác tính. Đặc điểm này được đánh giá trên mặt phẳng ngang (axial plane) bằng cách so sánh chiều cao (height, tallness) và chiều rộng (width) của nhân giáp được đo lần lượt là song song (parallel) và vuông góc (perpendicular) với chùm tia siêu âm. Hình dạng cao hơn rộng (taller-than-wide) thường dễ nhận thấy khi quan sát bằng mắt và hiếm khi cần đến các phép đo chính thức.
-
Đường bờ (Margin)
Sự hiện diện của viền halo xung quanh không giúp phân biệt (giữa nhân lành tính và ác tính; do đó chúng tôi quyết định loại bỏ đặc điểm viền halo ra khỏi danh mục. Chúng tôi đưa đặc điểm “đường bờ không rõ: ill-defined” vào danh mục này để bất kỳ mẫu báo cáo nào có mục thông tin về đường bờ (margin) sẽ không bị bỏ trống nếu nhân giáp không có bờ rõ ràng. “Bờ đa thùy hoặc không đều” (lobulated or irregular margin) đề cập đến bờ có dạng tua gai (spiculated) hoặc răng cưa (jagged) có hoặc không có các phần nhô ra vào nhu mô giáp xung quanh. Có thể khó nhận ra dấu hiệu này nếu nhân giáp có đường bờ không rõ ràng, nằm trong tuyến giáp có nhu mô không đồng nhất (heterogeneous gland) hoặc tiếp giáp với nhiều nhân giáp khác. Nếu không thể xác định được đường bờ (margin) vì bất kỳ lý do nào nên cho 0 điểm.
Sự lan rộng vượt ra ngoài bờ tuyến giáp (thyroid border) được phân loại là lan rộng (extensive) hoặc tối thiểu (minimal). (Chúng tôi sử dụng thuật ngữ bờ (border) vì tuyến giáp thiếu vỏ bao xơ thực sự). Mở rộng ra ngoài tuyến giáp lan rộng (ETE – Extensive extrathyroidal extension) được đặc trưng bởi sự xâm lấn rõ ràng (frank invasion) vào mô mềm và/hoặc cấu trúc mạch máu kế cận là một dấu hiệu ác tính có độ tin cậy cao và là một dấu hiệu tiên lượng xấu (unfavorable prognostic sign).
Mở rộng ra ngoài tuyến giáp lan rộng tối thiểu (Minimal ETE) có thể được nghi ngờ trên siêu âm khi có sự tiếp giáp với bờ (border abutment), đẩy lồi đường bờ (contour bulging) hoặc mất bờ tăng âm của tuyến giáp. Tuy nhiên, sự đồng thuận giữa các nhà giải phẫu bệnh trong việc xác định ETE tối thiểu là kém (poor) và ý nghĩa lâm sàng của nó còn gây tranh cãi (controversial). Do đó, các bác sĩ nên thận trọng khi báo cáo mở rộng ra ngoài tuyến giáp lan rộng tối thiểu (Minimal ETE) đặc biệt đối với những nhân giáp có hình ảnh siêu âm có vẻ là lành tính.
5. Các ổ tăng âm (Echogenic Foci)
“Dấu hiệu xảo ảnh đuôi sao chổi lớn (large comet-tail artifacts)” là các ổ tăng âm (echogenic foci) có xảo ảnh tăng âm dạng chữ V có độ sâu > 1 mm ở phía sau. Dấu hiệu xảo ảnh đuôi sao chổi lớn có liên quan đến chất keo (colloid) và là dấu hiệu chỉ điểm nhiều là lành tính khi được thấy trong thành phần dạng nang của nhân giáp. “Vôi hóa thô – Macrocalcifications” là các ổ tăng âm lớn (coarse echogenic foci) có kèm theo bóng lưng (acoustic shadowing) phía sau. Bằng chứng trong các tài liệu về mối liên hệ của chúng với việc tăng nguy cơ ác tính là không rõ ràng (mixed), đặc biệt ở những nhân giáp không có các đặc điểm ác tính khác.
Dựa trên dữ liệu đã được công bố cho thấy mối quan hệ tương quan dương tính không cao với ác tính, vôi hóa thô (macrocalcifications) được cho 1 điểm, nhận thấy rằng nguy cơ sẽ tăng lên nếu nhân giáp đồng thời chứa các đặc điểm nghi ngờ mức độ trung bình hoặc cao mà cần được cộng thêm điểm.
Vôi hóa ngoại vi (Peripheral calcifications) nằm dọc theo toàn bộ hoặc một phần bờ của nhân giáp. Mối tương quan của chúng với ác tính trong y văn là khác nhau. Tuy nhiên, vì một số bài báo (publications) cho thấy chúng có mối liên hệ chặt chẽ hơn với ác tính so với vôi hóa thô (macrocalcifications) nên chúng được cho 2 điểm. Một số tác giả đã lưu ý đến vôi hóa ngoại vi bị gián đoạn với phần mô lồi ra là dấu hiệu nghi ngờ ác tính nhưng với độ đặc hiệu thấp. Trong hệ thống ACR TI-RADS, đặc điểm này được coi là bờ đa thùy (lobulated margin) được cộng thêm 2 điểm nữa vào tổng điểm của nhân giáp.
Đối với nhân giáp có vôi hóa tạo ra bóng lưng mạnh (strong acoustic shadowing) làm cản trở hoặc hạn chế việc đánh giá các đặc điểm bên trong, đặc biệt là độ hồi âm và thành phần, tốt nhất là nên xem nhân giáp đó là nhân đặc và cho 2 điểm cho thành phần (composition) và 1 điểm cho độ hồi âm.
Các ổ tăng âm dạng lấm tấm (Punctate echogenic foci) có kích thước nhỏ hơn vôi hóa thô (macrocalcifications) và không có bóng lưng. Trong thành phần đặc của nhân giáp, chúng có thể tương ứng với vôi hóa dạng hạt cát (psammomatous calcifications) liên quan đến ung thư tuyến giáp thể nhú (papillary cancers) và do đó được coi là nghi ngờ cao, đặc biệt khi kết hợp với các đặc điểm nghi ngờ khác. Danh mục đặc điểm này bao gồm các ổ tăng âm có liên quan đến dấu hiệu xảo ảnh đuôi sao chổi nhỏ (small comet-tail artifacts) trong thành phần đặc, để phân biệt với dấu hiệu xảo ảnh đuôi sao chổi lớn (large comet-tail artifacts) đã được mô tả trước đó.
Đáng chú ý là các ổ tăng âm nhỏ có thể xuất hiện trong nhân giáp dạng bọt biển (spongiform nodules) vì chúng có thể có ở thành sau của các nang nhỏ li ti (back walls of minute cysts). Trong trường hợp này, chúng không phải là dấu hiệu nghi ngờ và không nên được cộng thêm điểm vào tổng điểm của nhân giáp dạng bọt biển.
Các đặc điểm lành tính khác (Additional Benign Appearances)
Một số đặc điểm siêu âm được mô tả là dấu hiệu đáng tin cậy cao của nhân giáp lành tính. Những đặc điểm này bao gồm hình ảnh tăng âm đồng nhất (uniformy hyperechoic), thường được ví von là ‘Hiệp sĩ Trắng’ (‘white knight’), cũng như kiểu hình đa dạng của các vùng tăng âm được ngăn cách nhau bởi các dải giảm âm (hypoechoic bands) giống hình ảnh lớp da hươu cao cổ (giraffe hide). Cả hai đặc điểm này đều xuất hiện trong bối cảnh viêm tuyến giáp Hashimoto (Hashimoto’s thyroiditis). Tuy nhiên, do hiếm gặp nên ủy ban đã quyết định không đưa các kiểu hình này vào biểu đồ ACR TI-RADS một cách chính thức.
Ung thư tuyến giáp thể nhú vi thể (Papillary thyroid microcarcinomas)
Hệ thống ACR TI-RADS giống với các hướng dẫn khác trong việc khuyến cáo không sinh thiết thường quy các nhân giáp < 1 cm, ngay cả khi chúng có mức độ nghi ngờ rất cao. Tuy nhiên, vì một số chuyên gia tuyến giáp ủng hộ việc giám sát tích cực (active surveillance), đốt nhân giáp (ablation), hoặc cắt thùy giáp (lobectomy) đối với ung thư tuyến giáp thể nhú vi thể, nên việc sinh thiết các nhân giáp TR5 có kích thước từ 5 đến 9 mm có thể được xem xét trong một số trường hợp nhất định.
Quyết định thực hiện chọc hút tế bào bằng kim nhỏ (FNA) sẽ liên quan đến việc đưa ra quyết định chung giữa bác sĩ lâm sàng điều trị (referring physician) và bệnh nhân. Bảng báo cáo siêu âm cần phải chỉ rõ nhân giáp có thể được đo lường lại một cách đáng tin cậy trong các lần theo dõi tiếp theo hay không. Thêm vào đó, nhân giáp ở vị trí quan trọng sát dưới bờ của tuyến giáp (critical submarginal locations) có thể làm phức tạp cho cuộc phẫu thuật. Do đó, bản báo cáo cũng cần chỉ ra liệu nhân giáp có tiếp giáp với khí quản (trachea) hay không, hoặc liệu nó có nằm cạnh rãnh khí quản – thực quản (tracheoesophageal groove) (vị trí của dây thần kinh thanh quản quặt ngược (recurrent laryngeal nerve)) hay không.
Những điểm cần lưu ý khi lập báo cáo (Reporting considerations)
Đo đạc kích thước (Measurement) và ghi chép hồ sơ (Documentation)
Việc đo kích thước chính xác của nhân giáp là rất quan trọng, vì kích thước lớn nhất (maximum dimension) sẽ quyết định liệu nhân giáp có nên được sinh thiết hay chỉ theo dõi. Mặc dù có sự khác biệt giữa các bác sĩ siêu âm trong việc đo đạc, nhưng việc áp dụng kỹ thuật đo lường chuẩn hóa và nhất quán là cần thiết để đảm bảo các phép đo là chính xác và có thể đo đạc lại trong các lần siêu âm theo dõi sau này.
Nhân giáp nên được đo theo 3 mặt phẳng: (1) kích thước tối đa trên mặt phẳng ngang (axial image), (2) kích thước tối đa vuông góc với phép đo trước đó trên cùng một mặt phẳng, và (3) kích thước tối đa theo chiều dọc trên mặt phẳng đứng dọc (sagittal image). Đối với các nhân giáp có hướng chếch (obliquely oriented nodules) thì các phép đo này có thể khác với các phép đo được sử dụng để xác định hình dạng ‘cao hơn rộng’ (taller-than-wide), nhưng sự khác biệt này hiếm khi gây ra vấn đề trong thực hành lâm sàng.
Các phép đo cũng nên đo luôn cả viền halo của nhân giáp nếu có. Các bác sĩ siêu âm có thể sử dụng các kích thước tuyến tính (linear dimensions) (chiều dài, chiều rộng và chiều sâu) để xác định thể tích (volume) của nhân giáp, đây là phép tính có sẵn trên nhiều máy siêu âm. Bất kể phương pháp nào được sử dụng, mỗi phương pháp thực hành đều phải đo lường và báo cáo nhân giáp một cách nhất quán để tạo điều kiện thuận lợi cho việc so sánh theo dõi (serial comparison).
Việc ghi chép hồ sơ cẩn thận về vị trí của nhân giáp trên hình ảnh siêu âm cũng quan trọng không kém, đặc biệt khi tuyến giáp có hồi âm không đồng nhất hoặc có nhiều nhân giáp. Mỗi nhân giáp được đưa vào danh sách theo dõi cần được đánh số thứ tự và gắn nhãn vị trí trong tuyến giáp (“thùy phải”, “thùy trái”, “eo giáp”, “trên”, “giữa”, “dưới”, và, nếu cần, có thể ghi thêm “ngoài”, “trong”, “trước”, hoặc “sau”).
Các đoạn video siêu âm rất có giá trị trong việc cung cấp thêm thông tin về mối quan hệ không gian giữa nhân giáp và các cấu trúc lân cận. Ủy ban khuyến cáo chỉ nên theo dõi không quá 4 nhân giáp có điểm ACR TI-RADS cao nhất mà nằm dưới ngưỡng kích thước được yêu cầu làm FNA, vì việc báo cáo chi tiết nhiều hơn 4 nhân giáp sẽ làm cho báo cáo trở nên phức tạp và dài dòng một cách không cần thiết. Các nhân giáp khác có thể được đánh giá lại trong các lần siêu âm tiếp theo mà không cần phải liệt kê chính thức.
Ủy ban đã không đề cập đến việc theo dõi đối với các nhân giáp đã được sinh thiết trước đó. Quyết định yêu cầu sinh thiết lặp lại thường do các bác sĩ lâm sàng điều trị chỉ định và được hướng dẫn bởi các khuyến cáo quản lý dựa trên kết quả FNA trước đó dựa trên Hệ thống Bethesda để Báo cáo Tế bào học Tuyến giáp (Bethesda System for Reporting Thyroid Cytopathology).
Định nghĩa về sự phát triển (Definition of Growth) của nhân giáp
Các tiêu chuẩn về việc tăng kích thước có ý nghĩa phụ thuộc vào kích thước của nhân giáp và phải tính đến sai số khi đo đạc. Trong ACR TI-RADS, sự tăng kích thước nhân giáp có ý nghĩa được định nghĩa là tăng 20% ở ít nhất 2 kích thước của nhân giáp và tăng tối thiểu 2 mm, hoặc tăng từ 50% thể tích trở lên, tương tự như các tiêu chuẩn được áp dụng bởi các hiệp hội chuyên môn khác. Vì sự tăng kích thước có thể không rõ ràng nếu kết quả siêu âm hiện tại chỉ được so sánh với lần siêu âm ngay trước đó, nên điều quan trọng là phải xem xét lại các phép đo từ những lần khám trước hơn nếu có.
Thời điểm thực hiện siêu âm theo dõi (Timing of Follow-Up Sonograms)
Có rất ít sự đồng thuận trong y văn về khoảng cách tối ưu của các lần siêu âm theo dõi đối với các nhân giáp không đủ tiêu chuẩn kích thước để làm FNA vì tốc độ tăng kích thước không phải là yếu tố đáng tin cậy để phân biệt giữa nhân giáp lành tính và ác tính. Ủy ban cho rằng việc siêu âm kiểm tra với khoảng cách < 1 năm là không cần thiết, ngoại trừ các trường hợp ung thư đã được xác nhận đang trong quá trình giám sát theo dõi chặt chẽ; những trường hợp này có thể yêu cầu theo dõi thường xuyên hơn tùy theo quyết định của bác sĩ lâm sàng điều trị.
Chúng tôi ủng hộ việc xác định thời điểm siêu âm theo dõi dựa trên mức ACR TI-RADS của nhân giáp cùng với siêu âm bổ sung cho các tổn thương có mức độ nghi ngờ cao hơn. Đối với nhân giáp TR5, chúng tôi khuyến cáo siêu âm mỗi năm trong vòng tối đa 5 năm. Đối với nhân giáp TR4, siêu âm nên được thực hiện vào các mốc 1, 2, 3 và 5 năm. Đối với nhân giáp TR3, việc theo dõi siêu âm có thể được thực hiện vào các mốc 1, 3 và 5 năm. Có thể ngừng siêu âm theo dõi sau 5 năm nếu không có sự thay đổi về kích thước, vì sự ổn định trong khoảng thời gian đó là dấu hiệu đáng tin cậy cho thấy nhân giáp có bản chất lành tính (benign behavior).
Không có bằng chứng được công bố nào để hướng dẫn việc quản lý các nhân giáp tăng kích thước đáng kể nhưng vẫn nằm dưới ngưỡng kích thước làm FNA đối với mức ACR TI-RADS của chúng sau 5 năm, nhưng việc tiếp tục theo dõi có lẽ là cần thiết. Nếu mức ACR TI-RADS của nhân giáp tăng lên trong quá trình theo dõi, lần siêu âm tiếp theo nên được thực hiện sau 1 năm, bất kể mức ACR TI-RADS ban đầu của nó là bao nhiêu.
Số lượng nhân giáp cần sinh thiết (Number of Nodules to Biopsy)
Sinh thiết (Biopsy) từ 3 nhân giáp trở lên khiến bệnh nhân khó chấp nhận, đồng thời làm tăng chi phí mà ít hoặc không mang lại lợi ích, thậm chí còn thêm rủi ro. Do đó, ủy ban khuyến cáo chỉ nên làm FNA không quá 2 nhân giáp có tổng điểm ACR TI-RADS cao nhất và đủ tiêu chuẩn làm FNA. Kích thước (Size) không nên là tiêu chuẩn chính để quyết định nhân giáp nào cần sinh thiết. Chúng tôi không khuyến khích sử dụng thuật ngữ ‘nhân giáp nổi trội’ (dominant nodule), thuật ngữ này thường được áp dụng cho nhân giáp lớn nhất trong tuyến giáp vì thuật ngữ này đã làm giảm vai trò chính của đặc điểm hình thái học (architecture) trong việc xác định cách quản lý.
Nếu có 3 nhân giáp trở lên đáp ứng hướng dẫn của ACR TI-RADS cho việc sinh thiết thì chỉ nên sinh thiết 2 nhân giáp có đặc điểm nghi ngờ nhất dựa trên tổng điểm, ngay cả khi chúng không phải là nhân lớn nhất. Ngược lại, trong tuyến giáp có nhiều nhân giáp rải rác nhưng không đủ tiêu chuẩn sinh thiết, việc tiến hành làm FNA nhân lớn nhất chỉ vì kích thước là không cần thiết. Mặc dù không thể loại trừ hoàn toàn ác tính ở những nhân này, nhưng sự khác nhau trong việc lấy mẫu sinh thiết làm giảm cơ hội phát hiện ung thư, vì việc sinh thiết tất cả các nhân giáp là không thực tế. Tương tự, sinh thiết thường không được chỉ định đối với tuyến giáp có rất nhiều nhân giáp nằm sát nhau (confluent) có hình thái tương tự.
Đánh giá hạch bạch huyết ở cổ (Assessment of Cervical Lymph Nodes)
Đánh giá hạch bạch huyết ở cổ là một phần quan trọng trong mỗi lần siêu âm tuyến giáp. Các dấu hiệu bất thường gợi ý di căn hạch cổ bao gồm: hình dạng tròn (globular shape), mất rốn hạch tăng âm bình thường (loss of the normal echogenic hilum), có dòng chảy mạch máu ở ngoại vi của hạch thay vì dòng chảy ở rốn hạch (peripheral rather than hilar flow), không đồng nhất với các thành phần dạng nang (heterogeneity with cystic components), và các ổ tăng âm dạng lấm tấm (punctate echogenic foci) có thể là vi vôi hóa (microcalcifications).
Các thảo luận chi tiết về những đặc điểm này và hình ảnh siêu âm minh họa có sẵn ở các nguồn khác. Chúng tôi khuyến cáo thực hiện FNA đối với các hạch bạch huyết nghi ngờ, bên cạnh việc sinh thiết tối đa 2 nhân giáp đáp ứng tiêu chuẩn sinh thiết dựa trên ACR TI-RADS.
Tài liệu tham khảo
- The 2017 ACR TI-RADS: pictorial essay – xuất bản 2022
- ACR Thyroid Imaging, Reporting and Data System (TI-RADS): White Paper of the ACR TI-RADS Committee – xuất bản 2017.
Người dịch: Bs. Lê Thị Ny Ny – Anhvanyds
Để lại một phản hồi Hủy