Bệnh lao (Tuberculosis) là một bệnh lý gây hậu quả nghiêm trọng (devastating disease) và đã phát triển trở lại trong những năm gần đây với sự xuất hiện của hội chứng suy giảm miễn dịch mắc phải (AIDS – acquired immunodeficiency syndrome). Tổn thương hệ thần kinh trung ương là dạng gây hậu quả nghiêm trọng nhất của bệnh lý này, chiếm 10% trong tổng số các trường hợp mắc bệnh lao. Tác nhân gây bệnh (causative organism) là Mycobacterium tuberculosis, kích thích phản ứng viêm dạng u hạt (granulomatous inflammatory response) trong não, những tác động của phản ứng này có thể được đánh giá trên hình ảnh cộng hưởng từ (MRI), do đó có thể được sử dụng để chẩn đoán bệnh lý này. Bệnh lao ở hệ thần kinh trung ương (Neurotuberculosis) có thể biểu hiện theo nhiều kiểu khác nhau, có thể được xác định trên MRI.
Các dạng tổn thương màng não bao gồm viêm màng nhện và màng mềm (leptomeningitis) và viêm màng cứng (pachymeningitis). Các dạng tổn thương nhu mô não của bệnh lao ở hệ thần kinh trung ương (neurotuberculosis) bao gồm u lao (tuberculoma) ở các giai đoạn khác nhau, viêm não và áp xe não do lao (tubercular cerebritis and abscess), viêm não sau do lao (tubercular rhombencephalitis) và bệnh não do lao (tubercular encephalopathy). Mỗi dạng có đặc điểm trên MRI đặc trưng và chẩn đoán phân biệt trên hình ảnh.
Các biến chứng của bệnh lao ở hệ thần kinh trung ương (neurotuberculosis), thường là do viêm màng não do lao (tubercular meningitis), bao gồm não úng thủy (hydrocephalus), viêm mạch máu (vasculitis) và nhồi máu (infarcts) cũng như liệt dây thần kinh sọ (cranial nerve palsies). Nhiều chuỗi xung trên MRI khác nhau ngoài các chuỗi xung thông thường có thể cung cấp thêm cho chẩn đoán bệnh, giúp đo lường mức độ ảnh hưởng của bệnh đến cộng đồng và giúp phân biệt bệnh lao ở hệ thần kinh trung ương với các tình trạng bệnh lý có đặc điểm hình ảnh tương tự. Những điều này có thể giúp bác sĩ chẩn đoán hình ảnh chẩn đoán chính xác và kịp thời và điều trị sớm để giảm khả năng di chứng thần kinh vĩnh viễn.
Giới thiệu
Bệnh lao (Tuberculosis – TB) là một bệnh lý gây hậu quả nghiêm trọng do vi khuẩn Mycobacterium tuberculosis gây ra với hơn 8 triệu ca tử vong được báo cáo hàng năm trên toàn thế giới do hậu quả trực tiếp hoặc gián tiếp của bệnh lý này. Bệnh lao đã xuất hiện trở lại trong những năm gần đây ngay cả ở những vùng không phải vùng dịch tễ (non-endemic areas) với sự xuất hiện của hội chứng suy giảm miễn dịch mắc phải (AIDS), với 9272 trường hợp mắc bệnh lao được báo cáo tại Hoa Kỳ vào năm 2016. Việc ảnh hưởng đến hệ thần kinh trung ương (CNS) là dạng bệnh lý gây hậu quả nghiêm trọng nhất và là nguyên nhân quan trọng gây ra bệnh tật và tử vong ở những người bị ảnh hưởng, với di chứng vĩnh viễn (permanent sequelae) xảy ra ở phần lớn các bệnh nhân. Tình trạng này bao gồm 10% trong số tất cả các trường hợp mắc bệnh lao và 20% các trường hợp mắc bệnh lao ở những bệnh nhân bị suy giảm miễn dịch.
Trong hầu hết các trường hợp, tác nhân gây bệnh là M. tuberculosis. Phương thức lây lan phổ biến nhất của tình trạng nhiễm trùng lan đến hệ thần kinh trung ương (CNS) là qua đường máu (haematological route), thường là từ các nốt nhỏ ở phổi (pulmonary focus). Một số trường hợp hiếm gặp lây lan trực tiếp từ các xoang cạnh mũi (paranasal sinuses), xương chũm (mastoids) hoặc hốc mắt (orbit) cũng đã được báo cáo.
Khi sinh vật (organism) tiếp cận được với hệ thần kinh trung ương (CNS), nó sẽ kích thích phản ứng viêm dạng u hạt mạnh mẽ, các tác động của phản ứng này thường có thể dễ dàng nhận thấy trên hình ảnh cộng hưởng từ (MRI), do đó cho phép chẩn đoán bằng hình ảnh và đưa ra phương pháp điều trị kịp thời. Thách thức chính trong chẩn đoán tình trạng này trên MRI bắt nguồn từ “many faces – nhiều khía cạnh” của bệnh lý, nghĩa là các đặc điểm hình ảnh trên MRI mà bệnh lý này có thể biểu hiện. Trong bài báo này, chúng tôi đã xem xét các kiểu khác nhau của nhiễm trùng lao nội sọ (intracranial tubercular infection) với các đặc điểm MRI khác nhau của từng kiểu tổn thương và các biến chứng của chúng. Ngoài ra, chẩn đoán phân biệt với các bệnh lý có các đặc điểm rất giống với bệnh lao có thể gây ra khó khăn trong chẩn đoán cũng đã được thảo luận, đặc biệt chú ý đến các đặc điểm giúp phân biệt bằng cả MRI thông thường (conventional MRI) cũng như các kỹ thuật MRI nâng cao (advanced MRI).
Hình ảnh của bệnh lao nội sọ (Spectrum of intracranial tuberculosis)
Lao nội sọ có thể được chia thành các kiểu lao liên quan đến màng não (meningeal) và liên quan đến nhu mô não (parenchymal) (Bảng 1). Bất kỳ sự kết hợp nào của các kiểu lao này cũng có thể xảy ra.
|
Lao màng não (Meningeal tuberculosis) |
Lao nhu mô não (Parenchymal tuberculosis) |
| Viêm màng nhện và màng mềm (Leptomeningitis) | U lao (Tuberculoma) |
| Viêm màng cứng (pachymeningitis) | Viêm não (Cerebritis) |
| Áp xe (Abscess) | |
| Viêm não sau (Rhombencephalitis) (Não sau gồm thân não và tiểu não). | |
| Bệnh lý não (Encephalopathy) |
Bảng 1: Các kiểu của bệnh lao ở hệ thần kinh trung ương.
Protocol chụp MRI (MRI protocol)
Thực hiện chụp MRI khi nghi ngờ bệnh lao nội sọ đều phải bao gồm các chuỗi xung trên mặt phẳng axial trước khi tiêm thuốc tương phản với T1W, T2W, FLAIR (fluid-attenuated inversion recovery sequence – chuỗi xung phục hồi đảo ngược xóa dịch não tủy), DWI (diffusion-weighted imaging sequence – chuỗi xung hình ảnh khuếch tán) và GRE (gradient echo sequence)/SWI (susceptibility-weighted imaging sequence) và xung T1W sau tiêm thuốc tương phản ở cả ba mặt phẳng.
Phổ proton ¹H và hình ảnh chuyển giao từ hóa (magnetisation transfer imaging) có thể được thực hiện bổ sung trong những trường hợp hình thái (morphology) hoặc phân bố (distribution) của các tổn thương không điển hình (atypical), gây ra khó khăn trong chẩn đoán. Chụp MRI động mạch (MRA – Magnetic resonance angiography) và chụp MRI tĩnh mạch (MRV – Magnetic resonance venography) có thể được sử dụng trong những trường hợp nghi ngờ có biến chứng mạch máu (vascular complications).
Lao màng não (Meningeal tuberculosis)
Viêm màng nhện và màng mềm do lao (Tubercular leptomeningitis)
Đây là biểu hiện thường gặp nhất của bệnh lao ở hệ thần kinh trung ương (CNS) nói chung và cũng là kiểu thường gặp nhất liên quan đến các biến chứng. Sinh vật này (organism) xâm nhập vào ổ nhiễm trùng dưới màng nhện (hiếm khi ở dưới màng não thất (subependymal)) được gọi là ‘ổ Rich – Rich focus’, sau đó vỡ (ruptures) vào khoang dưới nhện (hoặc não thất) và kích hoạt phản ứng viêm. Viêm màng não (Meningitis) thường biểu hiện với các đặc điểm kích thích màng não như cứng cổ (neck stiffness) và sợ ánh sáng (photophobia), mặc dù đôi khi có thể biểu hiện âm thầm (insidious presentation), đặc biệt là ở trẻ em.
Trên MRI, các dịch tiết (exudates) bắt thuốc tương phản lan tỏa liên quan đến các bể nền sọ (basal cisterns) là đặc điểm ổn định nhất. Tăng bắt thuốc màng nhện và màng mềm lan tỏa (Diffuse leptomeningeal enhancement) trên hình ảnh T1W sau tiêm thuốc tương phản ở các vùng bị ảnh hưởng là dễ nhận thấy. Tăng bắt thuốc màng nhện và màng mềm cho thấy khuynh hướng đặc biệt liên quan đến các bể nền sọ trong bệnh lao (TB), đặc biệt là các bể quanh trung não (perimesencephalic), bể gian cuống (interpeduncular), bể trước cầu não (prepontine) và bể trên yên (suprasellar).
Tăng bắt thuốc màng nhện và màng mềm thường lan dọc theo mặt dưới trong (inferomedial) của thùy trán (frontal lobes), mặt trước trong của thùy thái dương (temporal lobes), sàn của não thất thứ ba, mặt trên của bề mặt lều tiểu não và dọc theo rãnh Sylvian. Cường độ tín hiệu thay đổi liên quan của dịch não tủy (CSF – cerebrospinal fluid) trong các bể nền sọ và rãnh Sylvian cũng có thể thấy rõ ngay cả trên các hình ảnh trước khi tiêm thuốc tương phản (Hình 1).
Chụp MRI chuyển giao từ hóa (Magnetisation transfer MRI: MT-MRI) rất hữu ích, đặc biệt trong các trường hợp viêm màng não nhẹ, vì sự nổi bật của độ dày màng não (meningeal thickening) (trên phim chụp trước tiêm thuốc) và sự tăng bắt thuốc của màng não (trên phim chụp sau tiêm thuốc) được thể hiện rõ, cho phép xác định chính xác tình trạng bệnh trên hình ảnh học bằng cách tăng khả năng phát hiện tổn thương.

Hình 1. Viêm màng nhện và màng mềm do lao (Tubercular leptomeningitis). Hình A (T1W mặt phẳng axial) và Hình C (T2W mặt phẳng axial) cho thấy cường độ tín hiệu thay đổi ở các bể nền sọ (basal cisterns). Hình B (T1W sau tiêm thuốc tương phản mặt phẳng axial) và Hình D (T1W sau tiêm thuốc tương phản mặt phẳng coronal) cho thấy sự tăng bắt thuốc của màng nhện và màng mềm lan tỏa dọc theo các bể nền sọ và rãnh Sylvian với giãn não thất bên (dilated lateral ventricles).
Viêm màng cứng do lao (Tubercular pachymeningitis)
Viêm màng cứng do lao (Tubercular pachymeningitis) là một tình trạng tương đối hiếm gặp so với viêm màng nhện và màng mềm do lao (tubercular leptomeningitis). Phần lớn các trường hợp viêm màng cứng do lao là thứ phát sau viêm màng nhện và màng mềm do lao cấp hoặc mạn tính, mặc dù một số trường hợp vi khuẩn (bacteria) xâm nhập trực tiếp vào màng cứng (dura) do lây lan qua đường máu dẫn đến viêm màng cứng đơn độc cũng đã được báo cáo.
Trên MRI, tình trạng này được đặc trưng bởi tình trạng dày màng cứng khu trú (focal) hoặc lan tỏa (diffuse) và tăng bắt thuốc màng cứng sau tiêm thuốc tương phản. Xung FLAIR đặc biệt hữu ích để quan sát sự dày lên của màng cứng. Chẩn đoán là dễ dàng trong các trường hợp kết hợp với các đặc điểm đặc trưng khác của bệnh lao ở hệ thần kinh trung ương. Tuy nhiên, trong các trường hợp viêm màng cứng đơn độc, tình trạng này có thể khó phân biệt với các nguyên nhân khác gây viêm màng cứng, như bệnh u hạt ảnh hưởng đến hệ thần kinh (neurosarcoidosis), các rối loạn tự miễn (như bệnh u hạt Wegener, viêm khớp dạng thấp), giang mai thần kinh (neurosyphilis), viêm màng cứng phì đại vô căn và u màng não dạng mảng (en plaque meningioma).
Lao nhu mô não (Parenchymal tuberculosis)
U lao (Tuberculoma)
U lao ở nhu mô não (Parenchymal tuberculomas) là dạng thường gặp nhất của bệnh lao nhu mô nội sọ (intracranial parenchymal tuberculosis). Tình trạng này xảy ra do sự kết tụ (conglomeration) và hợp nhất (coalescence) của các vi hạt lao (tubercular microgranulomas), có xu hướng xảy ra tại ranh giới chất xám – trắng (grey-white matter junction) nhằm ngăn chặn các vi sinh vật (microbes) lây lan theo đường máu do giảm kích thước mạch máu ở vùng đó. Thỉnh thoảng, các tổn thương có thể xuất hiện trong nhu mô não thứ phát do lây lan từ nhiễm trùng dịch não tủy thông qua các khoang quanh mạch máu (Virchow Robin).
Tuy nhiên, tổn thương có thể xuất hiện ở hầu hết mọi vị trí có thể có trong não, bao gồm các rãnh não, thân não (brainstem), bán cầu tiểu não, bể nền sọ và hệ thống não thất. Chúng cũng có xu hướng kết tụ và xuất hiện thành từng đám (clusters) hoặc hợp nhất thành các u lao lớn hơn. U lao phổ biến hơn ở trẻ em và chủ yếu ở dưới lều (infratentorial). Ở người lớn, u lao có xu hướng chủ yếu ở trên lều (supratentorial). Về mặt bệnh học, u lao (tuberculoma) bao gồm u hạt điển hình (typical granuloma) với hoại tử bã đậu (caseous necrosis) ở trung tâm. Về mặt lâm sàng, u lao biểu hiện bằng đau đầu (headache), co giật (seizures), tăng áp lực nội sọ (ICT – intracranial tension), các khiếm khuyết thần kinh khu trú và sốt.
Các giai đoạn của u lao (tuberculoma): U lao xảy ra trong 4 giai đoạn – u hạt không bã đậu hóa (non-caseating granuloma), u hạt bã đậu hóa (caseating granuloma), u hạt bã đậu hóa có hóa lỏng trung tâm (caseating granuloma with central liquefaction) và u hạt vôi hóa (calcified granuloma) (Hình 2 và 3). Về mặt bệnh học, u lao bao gồm u hạt điển hình với các tế bào biểu mô, tế bào khổng lồ Langhans và viền ngoại vi của tế bào lympho. Hoại tử bã đậu ở trung tâm (Central caseous necrosis) tiếp theo là hóa lỏng (liquefaction) diễn tiến trong các giai đoạn sau đó. Sau khi điều trị, có thể xảy ra tình trạng tăng kích thước nghịch lý (paradoxical) của u lao. U lao có thể tự khỏi hoàn toàn, nhưng trong hầu hết các trường hợp, chúng tự khỏi (resolve) bằng cách hình thành các u hạt vôi hóa. Hình ảnh MRI của u lao, mặc dù có phần thay đổi, trong phần lớn các trường hợp như được mô tả trong Bảng 2.
Hình 2. U lao bã đậu hóa (Caseating tuberculomas). Hình A (T2W mặt phẳng axial) và hình B (FLAIR mặt phẳng axial) cho thấy các tổn thương giảm tín hiệu (hypointense) kết tụ lại ở vùng trán trái kèm phù nề quanh tổn thương (perilesional oedema), trên hình C (T1W mặt phẳng axial) tổn thương biểu hiện đồng tín hiệu (isointense) với viền tăng tín hiệu (hyperintense rim). Hình D (T1W sau tiêm thuốc tương phản mặt phẳng axial) cho thấy sự tăng bắt thuốc dạng vòng (ring enhancement) của u lao kết tụ lại.
Hình 3. U lao bã đậu hóa có hóa lỏng. Hình A (T2W mặt phẳng axial) và hình B (T2W mặt phẳng coronal) cho thấy một tổn thương khu trú với viền giảm tín hiệu và có tăng tín hiệu ở trung tâm trên T2. Hình C (T1W sau tiêm thuốc tương phản mặt phẳng coronal) cho thấy sự tăng bắt thuốc dạng vòng của tổn thương. Hình D (MR phổ – MR spectroscopy) cho thấy đỉnh lipid ở 1.3 ppm.
|
Tổn thương |
T1W | T2W | FLAIR | DWI |
T1WCE (T1W sau tiêm thuốc tương phản) |
| U hạt không bã đậu hóa (Non-caseating granuloma) | Đồng tín hiệu đến giảm tín hiệu | Tăng tín hiệu | Không xóa dịch (No suppression) | Không hạn chế khuếch tán | Tăng bắt thuốc đồng nhất |
| U hạt bã đậu hóa (Caseating granuloma) (Hình 2) | Đồng tín hiệu đến giảm tín hiệu có viền tăng tín hiệu | Giảm tín hiệu | Không xóa dịch (No suppression) | Không hạn chế khuếch tán | Tăng bắt thuốc đồng nhất hoặc tăng bắt thuốc dạng vòng |
| U hạt bã đậu hóa có hóa lỏng ở trung tâm (Caseating granuloma with central liquefaction) (Hình 3) | Đồng tín hiệu đến giảm tín hiệu có viền tăng tín hiệu | Viền giảm tín hiệu với tăng tín hiệu ở trung tâm | Xóa dịch một phần | Có hoặc không có hạn chế khuếch tán | Tăng bắt thuốc dạng vòng |
| U hạt vôi hóa (Calcified granuloma) | Đồng tín hiệu đến giảm tín hiệu | Giảm tín hiệu | Không xóa dịch | Không hạn chế khuếch tán | Không bắt thuốc tương phản |
Bảng 2. Hình ảnh MRI của u lao. (Xin xem trên laptop để thấy được hết bảng dịch này)
Tổn thương (lesion) và viền tăng tín hiệu (hyperintense rim) trên hình ảnh T1W trong trường hợp u hạt bã đậu hóa (caseating granulomas) trở nên dễ thấy hơn trên hình ảnh T1W MT (MT: Magnetisation transfer: Chuyển giao từ hóa). Sự kết hợp của các yếu tố: xơ hóa (fibrosis), tăng sinh tế bào thần kinh đệm (gliosis) và các sản phẩm của đại thực bào như các gốc tự do (free radicals)) là nguyên nhân gây ra tình trạng giảm tín hiệu (hypointensity) trên T2W của phần bã đậu của u lao trong giai đoạn u hạt bã đậu hóa. Phù nề quanh tổn thương biểu hiện tăng tín hiệu (hyperintense) trên chuỗi xung T2W và FLAIR và đôi khi dễ thấy hơn chính tổn thương.
Ở giai đoạn cuối của quá trình kết thúc viêm (resolution), u lao thường bị vôi hóa (calcification) và phù nề quanh tổn thương (perilesional oedema) được giải quyết hoàn toàn. Việc phát hiện tổn thương có thể trở nên khó khăn hơn trong giai đoạn này khi sử dụng các chuỗi xung T1W và T2W. Chuỗi xung GRE/SWI đặc biệt hữu ích trong việc phát hiện các tổn thương bị vôi hóa như vậy do các hiệu ứng nhạy cảm với từ tính của chúng (magnetic susceptibility effects). Tuy nhiên, không thể phân biệt u hạt bị vôi hóa (calcified granuloma) do lao (TB) với u hạt bị vôi hóa do bất kỳ nguyên nhân nào khác dựa trên các dấu hiệu hình ảnh.
Có thể xem xét nhiều chẩn đoán phân biệt khác nhau đối với các tổn thương tăng bắt thuốc dạng vòng của u lao. Những chẩn đoán quan trọng bao gồm bệnh nhiễm ấu trùng sán dây lợn hệ thần kinh trung ương (neurocysticercosis), di căn (metastasis), lymphoma hệ thần kinh trung ương (ở những bệnh nhân bị suy giảm miễn dịch), bệnh nhiễm ký sinh trùng toxoplasma (toxoplasmosis), khối u (như u nguyên bào thần kinh đệm (glioblastoma)) và áp xe do vi khuẩn sinh mủ (pyogenic abscess).
U lao kê (Miliary tuberculomas)
U lao kê chủ yếu gặp ở những bệnh nhân bị suy giảm miễn dịch và xảy ra khi nhiễm trùng (infection) lan đến não thông qua đường máu (haematogenous spread), thường là từ ổ nhỏ ở phổi (pulmonary focus). U lao kê thường nằm rải rác lan tỏa trong nhu mô não, chủ yếu nằm ở ranh giới chất xám-chất trắng. Rất nhiều u hạt nhỏ không bã đậu hóa, có kích thước nhỏ hơn 2-3 mm, cho thấy tăng bắt thuốc đồng nhất sau khi tiêm thuốc tương phản, có thể được phát hiện trên MRI (Hình 4). Trên phim chụp MRI không tiêm thuốc tương phản, tổn thương có thể hoặc không thể nhìn thấy. Tuy nhiên, tổn thương có thể biểu hiệu giảm tín hiệu trên xung T2W, gợi ý tình trạng hoại tử bã đậu (caseation). U lao kê (Miliary tuberculomas) có thể có nhiều biểu hiện bất thường do hiệu ứng khối (mass effect) không đáng kể của chúng và có thể biểu hiện bằng đau đầu, co giật, các dấu hiệu màng não và thậm chí là lo lắng. Các chẩn đoán phân biệt đối với u lao kê bao gồm bệnh Lyme, bệnh u hạt ảnh hưởng đến hệ thần kinh (neurosarcoidosis), di căn, bệnh u hạt lympho (lymphoid granulomatosis), bệnh Erdheim-Chester và bệnh nhiễm nấm histoplasma (histoplasmosis).
Hình 4. U lao kê (Miliary tuberculomas). Hình A (T1W mặt phẳng axial) cho thấy không có bất thường đáng kể nào. Hình B (T2W mặt phẳng axial) cho thấy hai tổn thương khu trú ở nhân bèo (lentiform nucleus) bên phải và nhân đuôi (caudate nucleus) bên trái. Hình C (T1W sau tiêm thuốc tương phản mặt phẳng axial) và hình D (T1W sau tiêm thuốc tương phản mặt phẳng coronal) cho thấy nhiều tổn thương khu trú tăng bắt thuốc đồng nhất ở nhu mô não.
Viêm não do lao (Tubercular cerebritis)
Viêm não do lao (Tubercular cerebritis) có thể có hoặc không có viêm màng não (meningitis) kèm theo. Viêm não đề cập đến sự liên quan của một vùng khu trú của nhu mô não trong quá trình nhiễm trùng, được xác định trên MRI là sự phồng lên (swelling) và cường độ tín hiệu thay đổi của các hồi não (gyri) bị ảnh hưởng. Các hồi não biểu hiện giảm tín hiệu trên T1W và tăng tín hiệu trên T2W so với nhu mô não bình thường và cho thấy sự tăng bắt thuốc sau tiêm thuốc tương phản không đồng nhất. Về mặt bệnh học, tổn thương bao gồm các vi hạt u lao (tubercular microgranulomata) với số lượng trực khuẩn lao rất ít và không có hoại tử bã đậu kèm theo.
Áp xe não do lao (Tubercular abscess)
Áp xe não do lao là một dạng tổn thương không thường gặp, xảy ra ở < 10% các trường hợp. Tổn thương này thường gặp hơn ở những bệnh nhân bị suy giảm miễn dịch và ở những độ tuổi rất trẻ và rất già (extremes of age). Bệnh nhân có thể biểu hiện với các khiếm khuyết thần kinh khu trú, sốt, đau đầu và các đặc điểm của tăng áp lực nội sọ (raised ICT). Tiến triển lâm sàng thường nhanh hơn so với u lao (tuberculomas). Có hai lý thuyết về sự hình thành áp xe não do lao.
Một giả thuyết cho rằng là sự tiến triển của viêm não do lao (tubercular cerebritis) và giả thuyết còn lại cho rằng là sự hóa lỏng của u lao (liquefaction of tuberculomas). Về mặt bệnh học, tổn thương bao gồm sự tích tụ mủ có thành hóa (walled-off) chứa vi khuẩn sống và chết, mảnh vụn tế bào (cellular debris) và các chất bã đậu. Áp xe não do lao là một dạng hiếm gặp, Whitener đã đưa ra các tiêu chuẩn để chẩn đoán bệnh lý ở cùng một bệnh nhân có biểu hiện lâm sàng đặc trưng, bao gồm ba đặc điểm thiết yếu:
– Bằng chứng đại thể của áp xe có chứa mủ.
– Thành áp xe của mô hạt mạch máu với các tế bào viêm cấp và mạn tính.
– Sự hiện diện của trực khuẩn lao (tubercular bacilli) được chứng minh trên nuôi cấy (culture) hoặc xét nghiệm nhuộm axit dương tính (positive acid-fast stain).
Trên hình ảnh, áp xe não biểu hiện dưới dạng một tổn thương khu trú, kích thước lớn (thường > 3 cm), giới hạn rõ (well-defined) kèm phù nề quanh tổn thương và có hiệu ứng khối. Tổn thương có thể có nhiều ngăn (multiloculate). Thành áp xe thường mỏng và bờ đều sắc nét. Thành phần bên trong của áp xe thường giảm tín hiệu trên T1W và tăng tín hiệu hoặc không đồng nhất trên T2W với các mức độ xóa dịch khác nhau trên FLAIR. Xung DWI thường cho thấy khuếch tán hạn chế (restricted diffusion) với các giá trị hệ số khuếch tán biểu kiến (ADC – apparent diffusion coefficient) thấp (Hình 5 và 6).
Thành áp xe thường đồng tín hiệu (isointense) trên T1 và giảm tín hiệu (hypointense) trên T2. Áp xe não do lao (Tubercular abscess) đôi khi có thể khó phân biệt với u lao bã đậu hóa (caseating tuberculomas) có hóa lỏng (liquefaction). Tuy nhiên, sự phân biệt này rất quan trọng về mặt lâm sàng vì việc điều trị u lao liên quan đến điều trị nội khoa (medical therapy) bằng thuốc chống lao (antituberculous drugs), trong khi việc điều trị áp xe não do lao liên quan đến dẫn lưu mủ bằng phẫu thuật. Hình ảnh đóng vai trò chính trong trường hợp này. Kích thước > 3 cm, có khuếch tán hạn chế, thành mỏng đều sắc nét và nhiều ngăn bên trong thường gợi ý áp xe não hơn là u lao, mặc dù điều trị không phải là chẩn đoán xác định.
Hình 5. Áp xe não do lao. Hình A (T1W sau tiêm thuốc tương phản mặt phẳng axial) cho thấy tổn thương giảm tín hiệu không đồng nhất với viền mỏng tăng bắt thuốc ở ngoại vi. Hình B (T1IR mặt phẳng axial) cho thấy tổn thương giảm tín hiệu. Tổn thương cho thấy hạn chế khuếch tán (diffusion restriction) ở hình C (DWI mặt phẳng axial) và biểu hiện tín hiệu không đồng nhất ở hình D (T2W mặt phẳng axial).
Hình 6. Cùng một trường hợp như trong Hình 5. MRI phổ cho thấy đỉnh lipid lớn ở 1.3 ppm.
Viêm não sau (thân não, tiểu não) do lao (Tuberculous rhombencephalitis)
Viêm não sau do lao là một dạng lao ở hệ thần kinh trung ương hiếm gặp, chiếm < 5% các trường hợp, mặc dù thường gặp hơn ở những bệnh nhân AIDS (~25%). Bệnh nhân thường biểu hiện các triệu chứng tiểu não hoặc các khiếm khuyết thần kinh khu trú của liệt dây thần kinh sọ cho thấy liên quan đến thân não (brainstem). Bệnh nhân cũng có thể biểu hiện các dấu hiệu tăng áp lực nội sọ do não úng thủy đi kèm hoặc dấu kích thích màng não do viêm màng nhện và màng mềm kèm theo. Có sự liên quan chủ yếu của tiểu não (cerebellum) và thân não (brainstem) (não sau – hindbrain).
Tổn thương thường ở dạng u lao ảnh hưởng đến nhu mô của não sau và thường kết hợp với viêm màng nhện và màng mềm (leptomeningitis) ở bể nền sọ (basal cisterns) (Hình 7). Phù viêm kèm theo có thể biểu hiện với tăng tín hiệu trên xung T2W/FLAIR với sưng nề các cấu trúc thân não. Thường thì, viêm màng nhện và màng mềm kèm theo ở bể nền sọ cũng có thể được nhìn thấy trên xung T1W sau tiêm thuốc tương phản. Dấu hiệu đặc trưng của tình trạng này là tỷ lệ cao bị các biến chứng liên quan như liệt dây thần kinh sọ (dẫn đến các khiếm khuyết thần kinh khu trú) và não úng thủy. Tiên lượng xấu so với các dạng khác, với tỷ lệ tử vong tương đối cao và di chứng thần kinh vĩnh viễn do ảnh hưởng đến thân não.
Hình 7. Viêm não sau do lao (Tubercular rhombencephalitis). Hình A (T2W mặt phẳng axial) và hình B (FLAIR mặt phẳng axial) cho thấy các tổn thương giảm tín hiệu kết tụ lại ở cầu não (pons) với phù nề quanh tổn thương. Hình C (T1W sau tiêm thuốc tương phản mặt phẳng axial) cho thấy tăng bắt thuốc dạng vòng của tổn thương do u lao kết tụ lại.
Viêm não sau do lao có thể có một số chẩn đoán phân biệt bao gồm các nguyên nhân nhiễm trùng khác như Listeria hoặc Herpes, các nguyên nhân tự miễn như bệnh Behçet và lupus ban đỏ hệ thống (SLE) và các hội chứng cận ung thư (paraneoplastic syndromes). Listeria đặc biệt quan trọng trong tình trạng này vì nó cũng có xu hướng lây nhiễm cho những bệnh nhân bị suy giảm miễn dịch và biểu hiện với các tổn thương tăng bắt thuốc dạng vòng ở thân não.
Các dấu hiệu trên MRI không phải lúc nào cũng có thể kết luận chẩn đoán, và phân tích dịch não tủy có thể được yêu cầu để xác định chẩn đoán trong những trường hợp như vậy. Nếu các tổn thương tăng bắt thuốc dạng vòng không được thấy rõ, u thần kinh đệm ở thân não lan tỏa cũng có thể là một chẩn đoán phân biệt. Phổ proton 1H có thể hữu ích trong những trường hợp như vậy vì nó cho thấy choline tăng cao ở mức 3.2 ppm trong trường hợp u thần kinh đệm thân não lan tỏa so với đỉnh lipid ở mức 1.3 ppm trong trường hợp nguyên nhân do lao.
Bệnh não do lao (Tuberculous encephalopathy)
Tình trạng này thường xảy ra ở trẻ nhỏ với khởi phát cơn co giật (seizures), thay đổi cảm giác, sững sờ (stupor) và hôn mê (coma) mà không có dấu hiệu viêm màng não. Người ta cho rằng nguyên nhân là do phản ứng quá mẫn (hypersensitivity reaction) loại IV với protein lao. Về mặt bệnh học, tổn thương chất trắng lan rộng và hủy myelin quanh mạch máu có trong nhu mô não. Trên MRI, phù não lan rộng được thấy với tăng tín hiệu trên T2W/FLAIR lan rộng một bên hoặc hai bên. Có thể thấy chất trắng bị ảnh hưởng có tăng bắt thuốc lan tỏa sau tiêm thuốc tương phản. Tiên lượng xấu, tử vong thường xảy ra trong vòng một đến hai tháng sau khi khởi phát. Viêm não tủy cấp tính lan tỏa (ADEM – Acute disseminated encephalomyelitis) là chẩn đoán phân biệt quan trọng trong nhiều trường hợp.
Biến chứng của bệnh lao ở hệ thần kinh trung ương (Complications of central nervous system tuberculosis)
- Biến chứng liên quan đến não thất:
– Não úng thủy (hydrocephalus): thông thương (communicating) / không thông thương (non-communicating)
– Viêm não thất (ventriculitis)
– Viêm đám rối mạch mạc (choroid plexitis).
- Biến chứng mạch máu:
– Động mạch: viêm mạch máu và nhồi máu
– Tĩnh mạch: huyết khối xoang tĩnh mạch màng cứng và nhồi máu tĩnh mạch.
- Bệnh lý thần kinh sọ não (Cranial neuropathies).
Não úng thủy (Hydrocephalus)
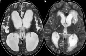
Não úng thủy (Hydrocephalus) là biến chứng thường gặp nhất của bệnh lao ở hệ thần kinh trung ương. Não úng thủy có thể là thông thương hoặc không thông thương. Não úng thủy thông thương (Communicating hydrocephalus) thường gặp hơn và xảy ra do tắc nghẽn dòng chảy dịch não tủy trong các bể nền sọ do dịch tiết của viêm (Hình 8). Ở giai đoạn sau, não úng thủy có thể có là di chứng thứ phát do tình trạng dính sau viêm ở bể nền sọ. Não úng thủy không thông thương (Non-communicating hydrocephalus), mặc dù thường gặp hơn do hiệu ứng khối chèn ép thứ phát do u lao hoặc áp xe não do lao, cũng có thể xảy ra trong các trường hợp phức tạp do viêm não thất (ventriculitis) và viêm màng não thất (ependymitis), có thể tạo ra dịch tiết viêm (inflammatory exudates) và dính sau viêm gây tắc nghẽn, thường ở ngang mức cống não Sylvius.
Hình 8. Biến chứng của viêm màng não do lao. Hình A (T2W axial) biểu hiện giãn lớn não thất bên hai bên cho thấy não úng thủy. Hình B (T2W axial) cho thấy nhiều ổ nhồi máu não ở vùng hạch nền và bao trong (gangliocapsular regions) hai bên.
Viêm não thất (Ventriculitis)
Vỡ ổ nhiễm trùng dưới màng não thất vào trong não thất hoặc lây lan nhiễm trùng vào não thất qua các lỗ thông thương (communicating foramina) ở giai đoạn muộn của viêm màng nhện và màng mềm do lao dẫn đến viêm não thất. Viêm não thất được thấy trên MRI là tăng tín hiệu không đồng nhất của dịch não tủy trên T1W so với dịch não tủy bình thường, với sự dày lên và tăng bắt thuốc sau tiêm thuốc tương phản của lớp màng não thất. Thường kết hợp với não úng thủy.
Viêm đám rối mạch mạc (Choroid plexitis)
Viêm đám rối mạch mạc (Choroid plexitis) là biến chứng hiếm gặp khác thường được thấy liên quan đến viêm não thất (ventriculitis) và viêm màng não thất (ependymitis), do đám rối mạch mạc (choroid plexus) tham gia vào quá trình viêm. Trên hình ảnh, tình trạng này được thấy với sự to ra (enlargement) và tăng bắt thuốc tương phản rõ rệt của đám rối mạch mạc bị ảnh hưởng.
Mạch máu (động mạch) – Vascular (arterial)
Biến chứng mạch máu cũng tương đối phổ biến. Viêm mạch (Vasculitis) và tắc nghẽn mạch máu (vascular occlusions) được phát hiện trong 20-41% các trường hợp có hình ảnh của lao ở hệ thần kinh trung ương (CNS TB). Nhiễm trùng do lao (Tubercular infection) có xu hướng ảnh hưởng đến các mạch máu có kích thước nhỏ và vừa. Nhiễm trùng do lao chủ yếu ảnh hưởng đến các nhánh mạch máu đậu vân (lenticulostriate) và các nhánh mạch máu đồi thị (thalamoperforating) và sau đó gây ra nhồi máu não ở các vùng phân bố mạch máu này gồm các vùng hạch nền – đồi thị (gangliothalamic regions) hai bên, được gọi là ‘vùng tổn thương lao ở gần đường giữa – medial tuberculosis zone’ (Hình 8).
Mạch máu (tĩnh mạch) – Vascular (venous)
Viêm màng não do lao (Tubercular meningitis) cũng có thể dẫn đến huyết khối xoang tĩnh mạch màng cứng (dural venous sinus thrombosis) và nhồi máu tĩnh mạch (venous infarcts) theo sau. Tuy nhiên, đây là một biến chứng ít gặp và đòi hỏi chỉ số nghi ngờ cao để chẩn đoán chính xác. Xung DWI có giá trị đặc biệt trong việc phát hiện các biến chứng mạch máu như nhồi máu. MRA (chụp cộng hưởng từ động mạch – magnetic resonance angiography) cũng có thể được sử dụng trong các trường hợp được lựa chọn để xác định tình trạng không đều (irregularity), dạng tràng hạt (beading) và hẹp từng đoạn của các động mạch có kích thước trung bình. Tương tự như vậy, MRV (chụp cộng hưởng từ tĩnh mạch – magnetic resonance venography) có thể được sử dụng trong các trường hợp nghi ngờ huyết khối xoang tĩnh mạch.
Bệnh lý thần kinh sọ não (Cranial neuropathies)
Tổn thương dây thần kinh sọ xảy ra ở 17 – 40% các trường hợp và bệnh nhân có thể bị liệt nhiều dây thần kinh sọ (cranial nerve palsies). Nguyên nhân bao gồm thiếu máu cục bộ thứ phát do viêm mạch hoặc chèn ép dây thần kinh (nerve entrapment) do dịch tiết ở bể nền sọ. MRI cho thấy sự dày lên (thickening) và tăng tín hiệu trên T2W của các dây thần kinh bị ảnh hưởng, với sự tăng bắt thuốc các đoạn gần của dây thần kinh nằm kế cận với thân não. Các dây thần kinh sọ II, III, IV và VII thường bị ảnh hưởng nhất trong bệnh lao ở hệ thần kinh trung ương (CNS tuberculosis). Hơn nữa, tổn thương dây thần kinh sọ được xem là một đặc điểm quan trọng góp phần hỗ trợ chẩn đoán viêm màng não do lao (tubercular meningitis) hơn là viêm màng não cấp do vi khuẩn (acute bacterial meningitis) tình trạng mà tương đối hiếm gặp.
Các đặc điểm MRI của bệnh lao ở hệ thần kinh trung ương khác biệt với các tổn thương khác
-
Viêm màng nhện và màng mềm do lao (Tubercular leptomeningitis) so với viêm màng nhện và màng mềm do vi khuẩn sinh mủ (pyogenic) hoặc nấm (fungal)
Việc phân biệt viêm màng não do lao với viêm màng não do vi khuẩn sinh mủ hoặc viêm màng não do nấm có thể khó chẩn đoán về mặt hình ảnh học hoặc thậm chí là không thể chẩn đoán được bằng việc sử dụng các chuỗi xung MRI thông thường (conventional MRI sequences), đặc biệt là khi sự phân bố của tình trạng viêm không điển hình đối với viêm màng não do lao (tubercular meningitis). Phổ proton ¹H có thể hữu ích trong những trường hợp như vậy vì nó cho thấy đỉnh lipid và lactat ở màng não tăng bắt thuốc trong trường hợp nguyên nhân do lao.
Khi đánh giá định lượng bằng MT-MRI (MRI chuyển giao từ hóa), tỷ lệ phần trăm khác biệt về cường độ tín hiệu trung bình giữa màng não (meninges) và nhu mô não kế cận được phát hiện cao hơn đáng kể trong viêm màng não do lao so với viêm màng não do vi khuẩn sinh mủ hoặc do nấm (20% so với 10%). Ngoài ra, tỷ lệ chuyển giao từ hóa (MTR – magnetisation transfer ratio) từ màng não trong viêm màng não do lao (19.10 ± 1.02) cũng được phát hiện thấp hơn đáng kể so với viêm màng não do vi khuẩn sinh mủ và cao hơn đáng kể so với viêm màng não do vi-rút (viral meningitis).
-
Viêm màng cứng do lao (Tubercular pachymeningitis) so với các nguyên nhân khác gây viêm màng cứng
Phổ proton ¹H một lần nữa hữu ích trong những trường hợp như vậy vì nó cho thấy đỉnh lipid và lactat ở màng cứng (dura) tăng bắt thuốc trong trường hợp nguyên nhân do lao.
-
U lao (Tuberculoma) so với các tổn thương tăng bắt thuốc dạng vòng (ring enhancing lesions) khác
Phổ proton ¹H đóng vai trò chính trong việc phân biệt u lao (tuberculomas) với các tổn thương tăng bắt thuốc dạng vòng khác, đặc biệt là trong các trường hợp không điển hình. Đỉnh lipid nổi bật ở 1.3 ppm là đặc trưng của u lao. Các nghiên cứu gần đây cũng cho thấy sự hiện diện của đỉnh guanidinoacetate ở 3.8 ppm là đặc trưng của u lao.
Gupta và cộng sự cũng đã chứng minh rằng u lao có cường độ tín hiệu không đồng nhất trên T1W và T2W với sự tăng bắt thuốc tương phản không đồng nhất sau tiêm cho thấy đỉnh choline ở mức 3.32 ppm bên cạnh đỉnh lipid ở mức 1.3 ppm và gợi ý rằng mật độ tế bào cao (high cellularity) trong loại u lao này có thể là nguyên nhân gây ra tình trạng này. Bệnh lao (Tuberculosis) và bệnh nhiễm ấu trùng sán dây lợn ở hệ thần kinh trung ương (NCC – neurocysticercosis) là những bệnh khá giống nhau (close differentials) ở các nước mà cả hai bệnh nhiễm trùng này đều lưu hành (endemic). Sự khác biệt trên MRI giữa hai bệnh này được trình bày trong Bảng 3 (Hình 9).
U lao (Tuberculoma) |
Bệnh nhiễm ấu trùng sán dây lợn ở hệ thần kinh trung ương (neurocysticercosis) |
| Tổn thương ở ranh giới chất xám-chất trắng | Tổn thương ở khoang dưới nhện rãnh não |
| U hạt bã đậu hóa (caseous granulomas) với giảm tín hiệu trên T2 | Nang với tăng tín hiệu trên T2 nếu không bị vôi hóa |
| Không xóa dịch hoặc xóa dịch không hoàn toàn trên FLAIR | Xóa dịch hoàn toàn trên FLAIR |
| Không thấy đầu sán dây | Đầu sán dây (Scolex) lệch tâm với giảm tín hiệu trên T2 |
| Viền tăng tín hiệu trên T1W trên MRI MT (MRI chuyển giao từ hóa) | Không có viền tăng tín hiệu trên T1W |
| Kích thước có thể > 2 cm | Kích thước thường < 2 cm |
| Tổn thương kết tụ lại với tăng bắt thuốc tương phản dạng vòng (ring) | Nang phân bố lan tỏa, ở nhiều giai đoạn khác nhau |
| Mức độ phù nề quanh tổn thương lớn hơn | Mức độ phù nề quanh tổn thương nhỏ hơn |
Bảng 3. Sự khác biệt giữa u lao (tuberculoma) và bệnh nhiễm ấu trùng sán dây lợn ở hệ thần kinh trung ương (neurocysticercosis) trên MRI.
Hình 9. Bệnh nhiễm ấu trùng sán dây lợn ở hệ thần kinh trung ương (Neurocysticercosis). Hình ảnh MRI mặt phẳng axial cho thấy nhiều tổn thương tăng bắt thuốc dạng vòng với đầu sán dây lệch tâm điển hình.
U lao (Tuberculoma) so với di căn (metastases)
Cả hai đều có thể là tổn thương đa ổ (multiple). Tuy nhiên, mức độ phù nề quanh tổn thương nhiều hơn ở di căn so với u lao. Ngoài ra, di căn thường tăng tín hiệu trên T2W khác với u lao với giảm tín hiệu trên T2W. Phổ proton ¹H cũng hữu ích vì nó cho thấy đỉnh choline ở mức 3.2 ppm trong di căn, trong khi u lao cho thấy đỉnh lipid (Hình 10).
Hình 10. Di căn (Metastasis). Hình ảnh MRI mặt phẳng axial cho thấy nhiều tổn thương tăng bắt thuốc dạng vòng với phù nề quanh tổn thương ở ranh giới chất xám-trắng với đỉnh choline bên cạnh đỉnh lipid/lactate trên MRI phổ.
Áp xe não do lao (Tubercular abscess) so với áp xe não do vi khuẩn sinh mủ (pyogenic)/do nấm (fungal)
Áp xe não do lao có thành dày hơn áp xe não do vi khuẩn sinh mủ. Các kỹ thuật MRI đã được cải tiến như MRI phổ, DWI và MT MRI (MRI chuyển giao từ hóa) đóng vai trò quan trọng trong việc phân biệt áp xe não do lao với áp xe não do vi khuẩn sinh mủ và do nấm. Phổ proton ¹H cho thấy đỉnh lipid và lactat trong trường hợp áp xe não do lao, trong khi nó cho thấy đỉnh axit amin trong tế bào chất (cytosolic amino acid peak) trong áp xe não do vi khuẩn sinh mủ và cho thấy đỉnh trehalose bên cạnh đỉnh axit amin trong áp xe não do nấm.
DWI cho thấy hạn chế khuếch tán (diffusion restriction) của các thành phần bên trong ổ áp xe não do vi khuẩn sinh mủ và do lao, trong khi hạn chế khuếch tán của thành (wall) và các thành phần từ thành nhô vào trong khoang (intracavitary projections) là đặc trưng của áp xe não do nấm. MTR trung bình của thành áp xe não do lao (19.89 ± 1.55) thấp hơn đáng kể so với áp xe não do vi khuẩn sinh mủ.
Kết luận
Bệnh lao nội sọ (Intracranial tuberculosis) là một bệnh lý đơn lẻ có “nhiều khía cạnh- many faces” trên hình ảnh và do đó có thể tạo ra sự đa dạng về hình ảnh của các dạng tổn thương trong não, bao gồm viêm màng não do lao (tubercular meningitis), u lao, viêm não do lao, áp xe và bệnh lý não (encephalopathy). Hơn nữa, mỗi dạng tổn thương này có thể có nhiều đặc điểm khác nhau và có thể giống với nhiều bệnh lý khác, những bệnh lý thường gặp trong số đó đã được thảo luận.
Đánh giá cẩn thận trên hình ảnh MRI, sử dụng thích hợp các kỹ thuật đã được cải tiến và những tiến bộ gần đây cùng với tương quan lâm sàng – hình ảnh học đầy đủ có thể giúp bác sĩ chẩn đoán hình ảnh chẩn đoán chính xác và kịp thời và do đó có thể bắt đầu điều trị sớm. Điều này đặc biệt quan trọng khi xét đến tỷ lệ di chứng thần kinh vĩnh viễn cao ở những bệnh nhân bắt đầu điều trị muộn.
Tài liệu tham khảo
Magnetic resonance imaging spectrum of intracranial tubercular lesions: one disease, many faces
Người dịch: Bs. Lê Thị Ny Ny – Anhvanyds
Để lại một phản hồi Hủy